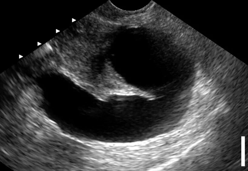
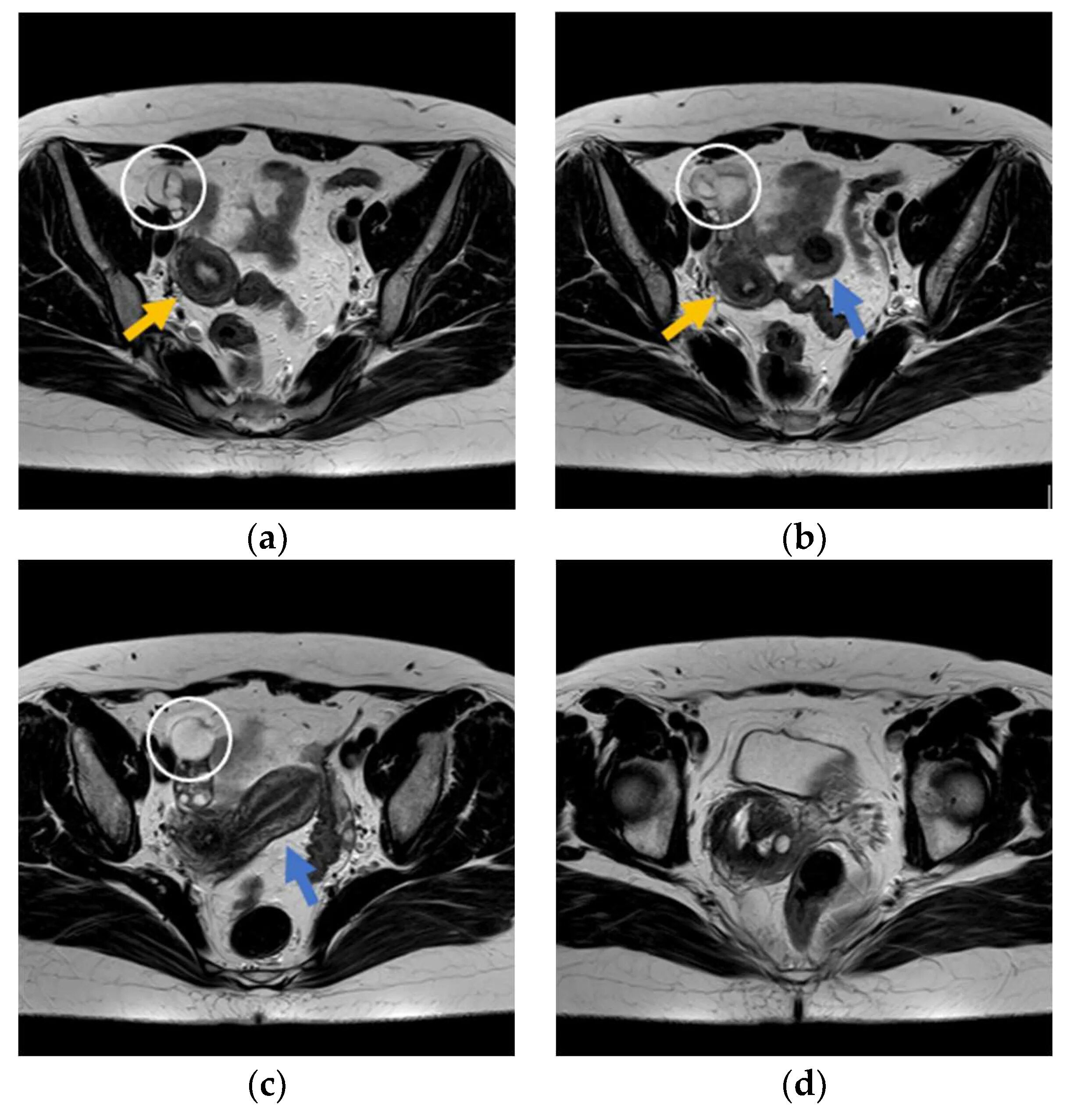
Гидросальпинкс что это такое как лечить