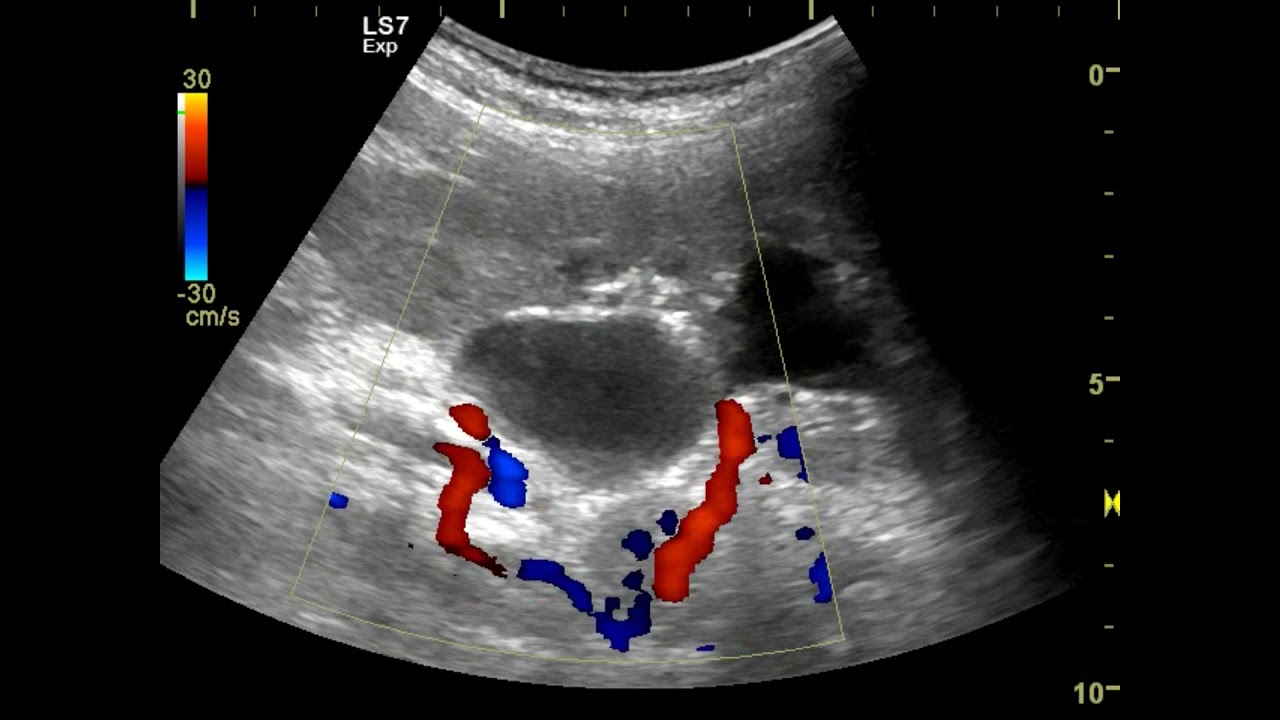
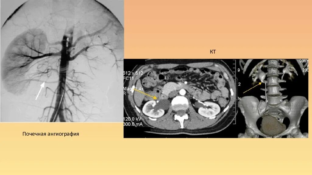
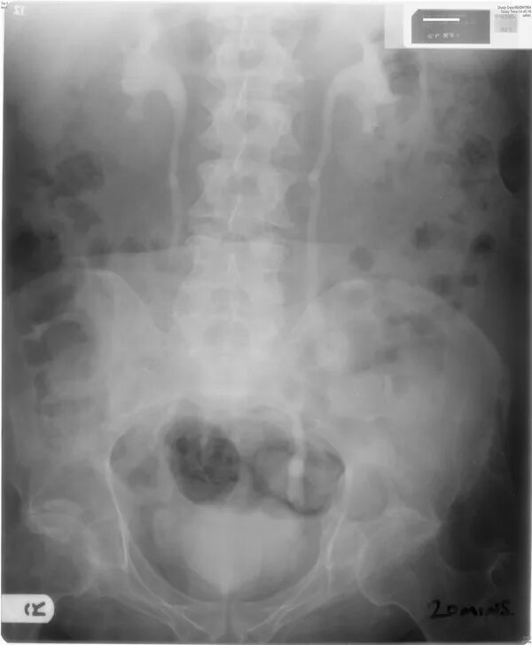
Гидронефроз почки после операции