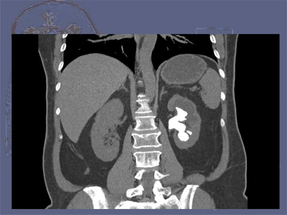
Гидронефроз 1 степени