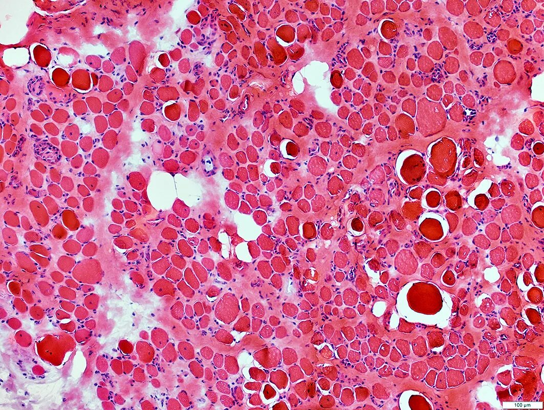
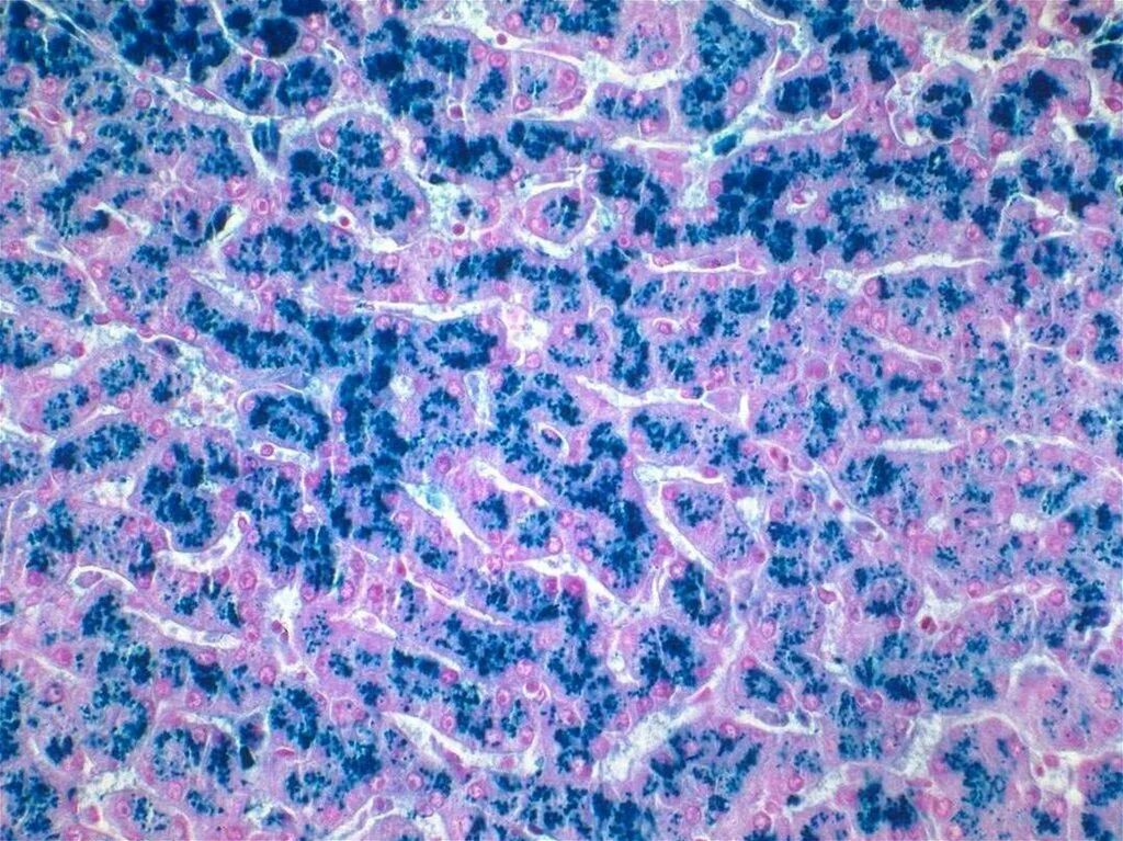
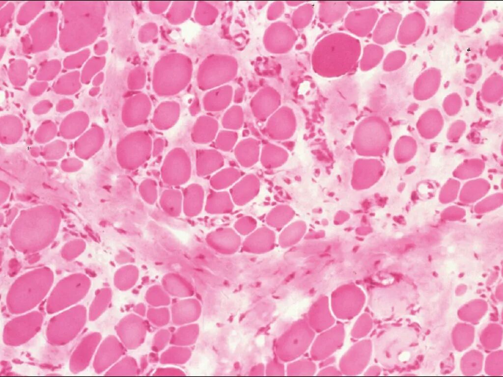
Ген дистрофии