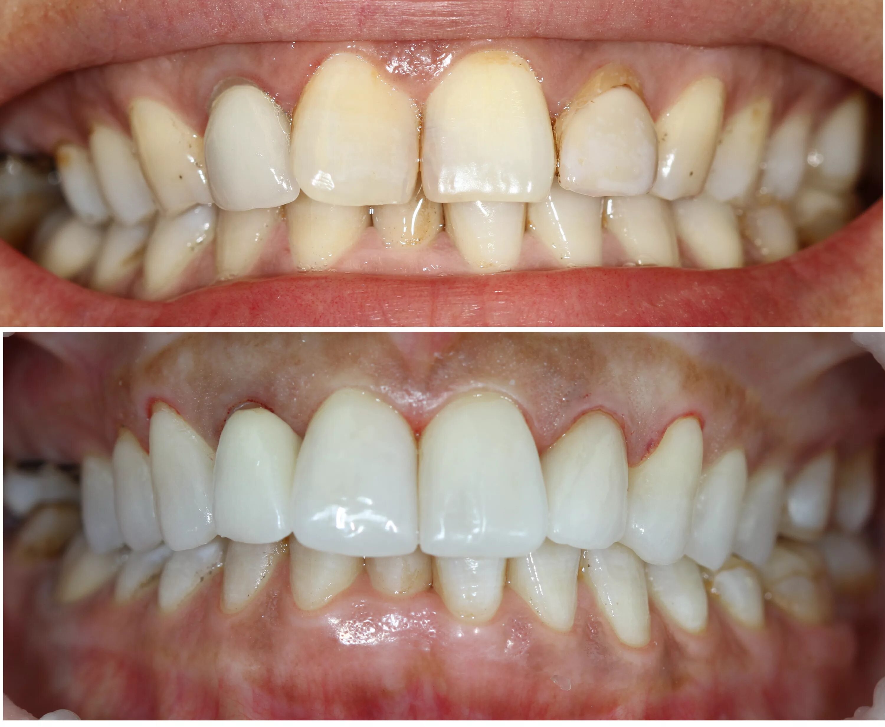
Где дешевле сделать зубы