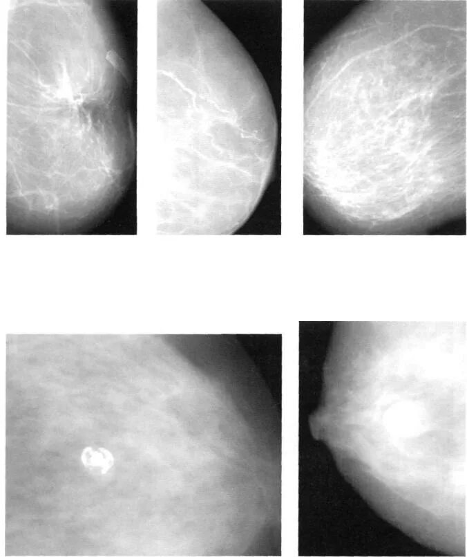
Формы уплотнений в молочной железе