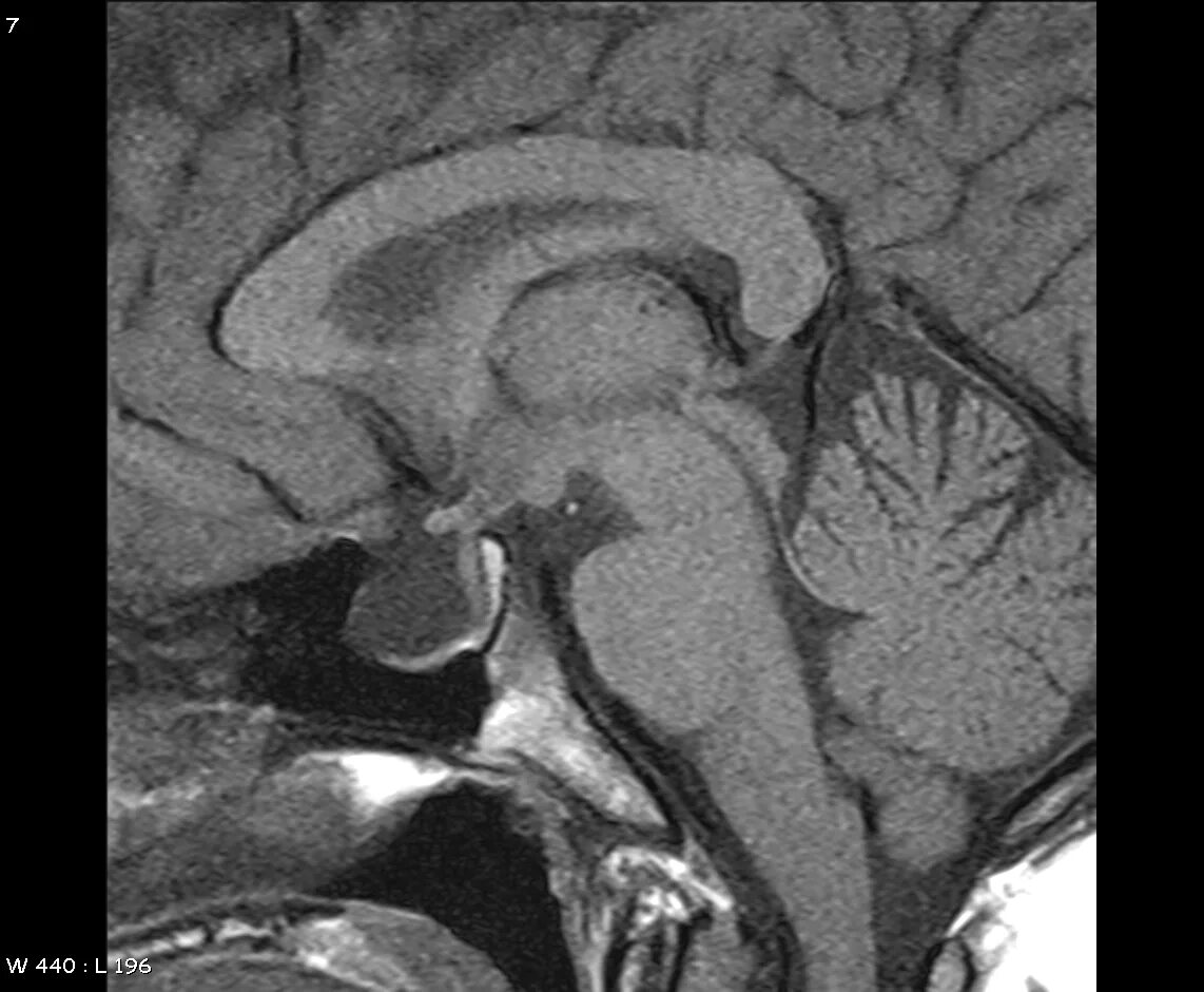
Формирование пустого турецкого седла в головном мозге