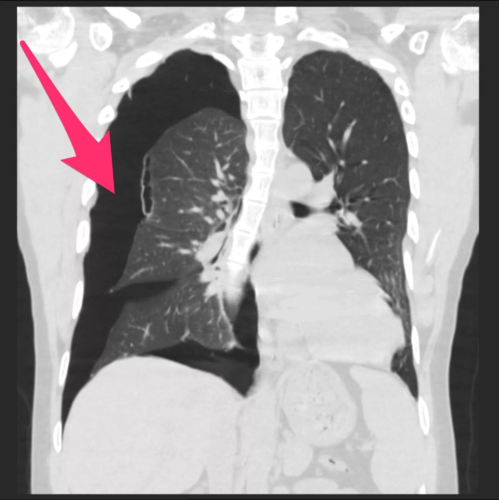
Флюорография видно что куришь электронную сигарету