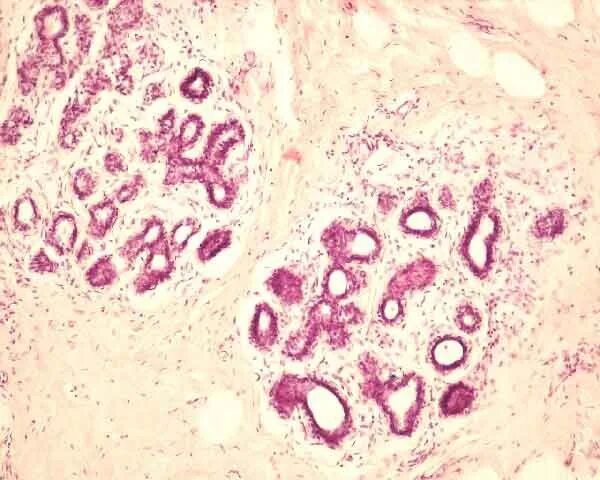
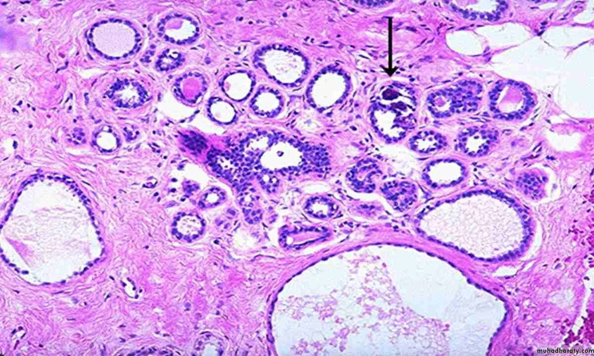
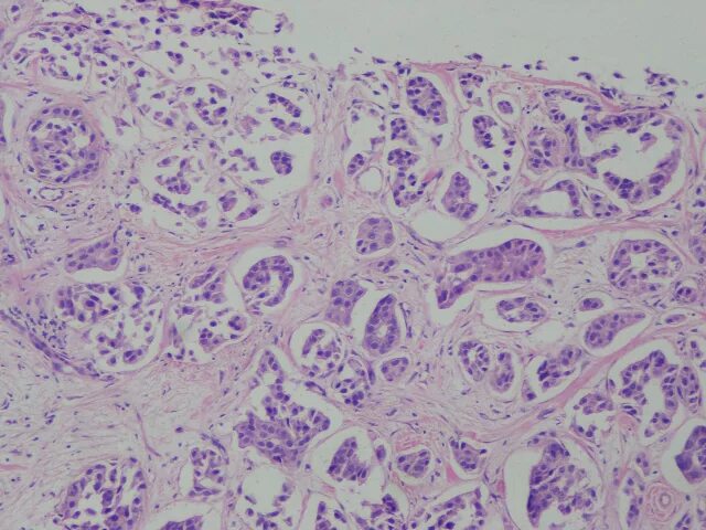
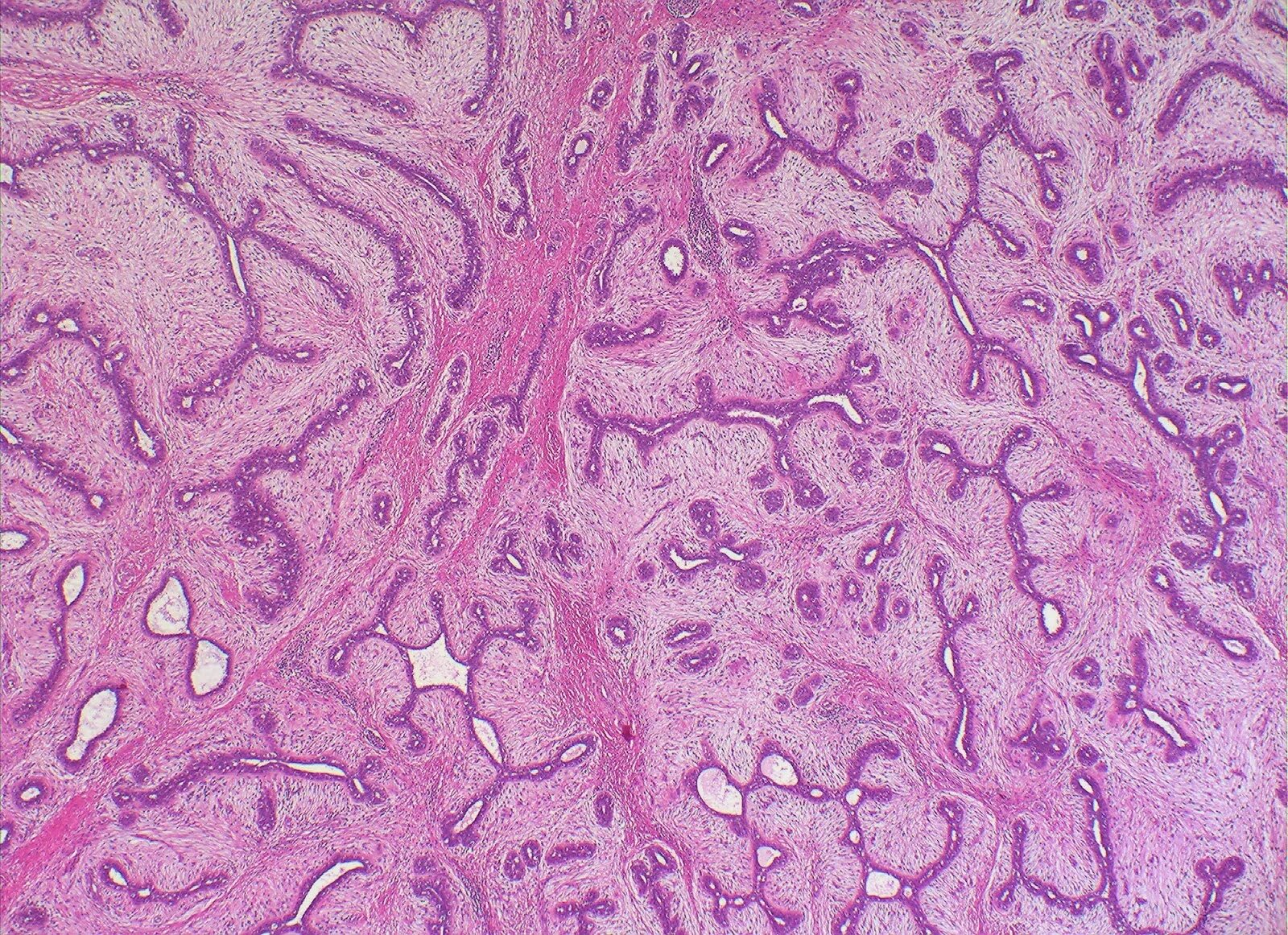
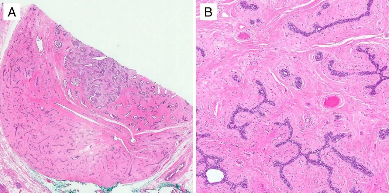
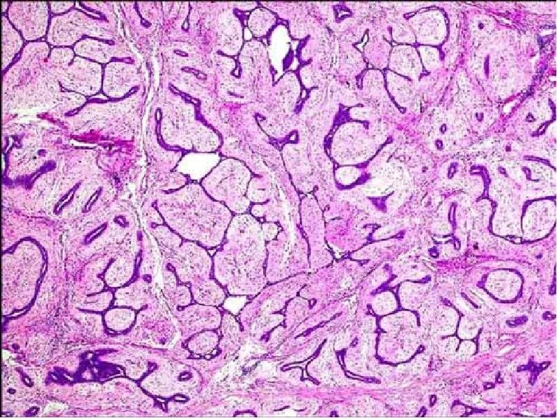
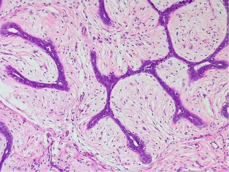
Фиброаденома гистология