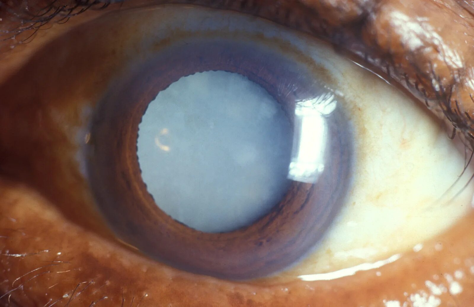
Факосклероз хрусталика