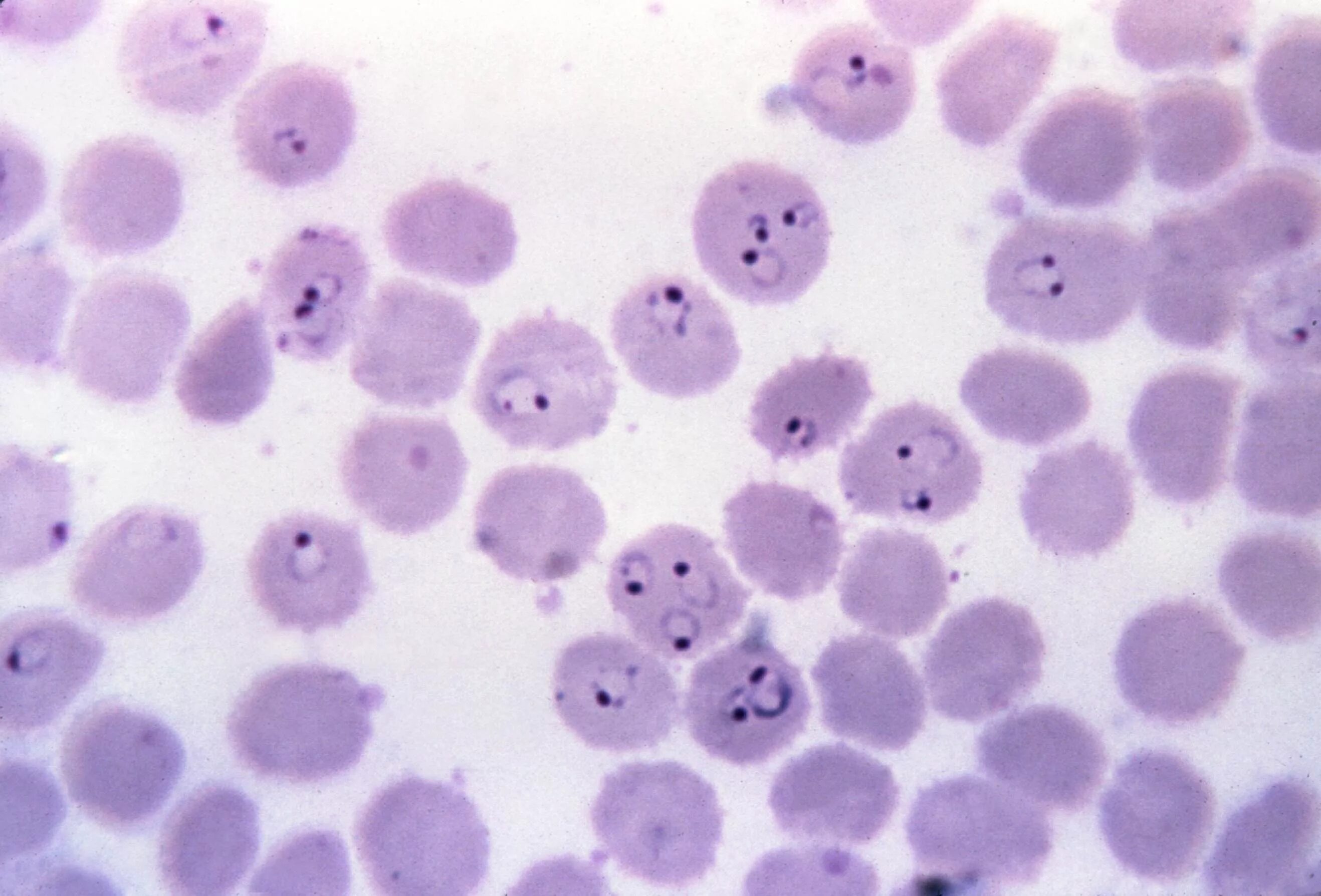
Эритроцит амеба