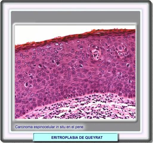
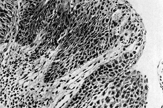
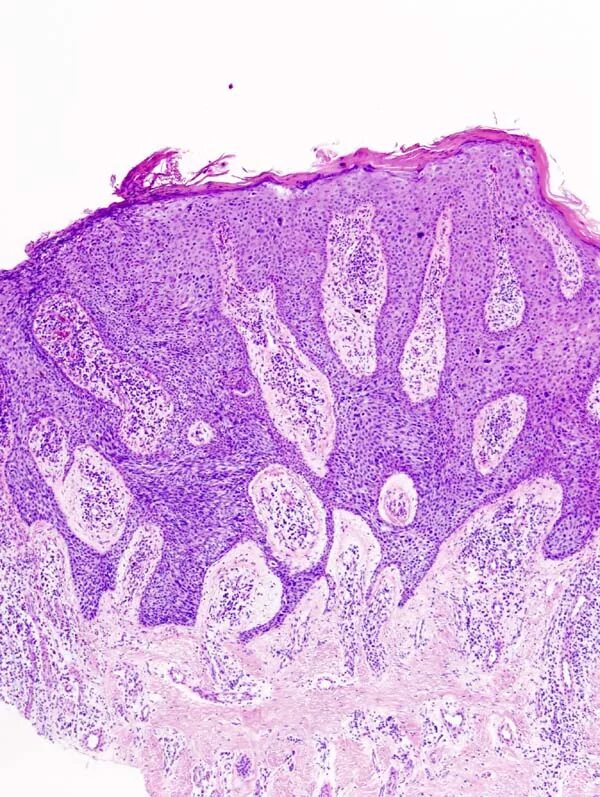
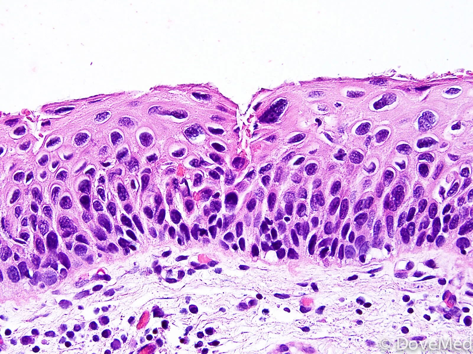
Эритроплазия кейр