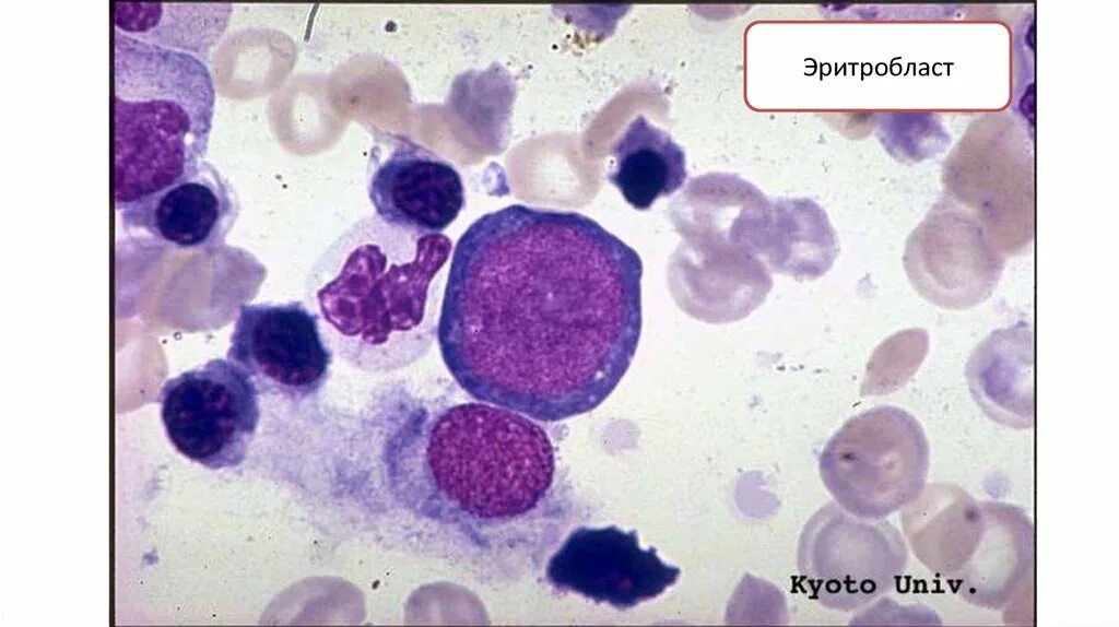
Эритробласт