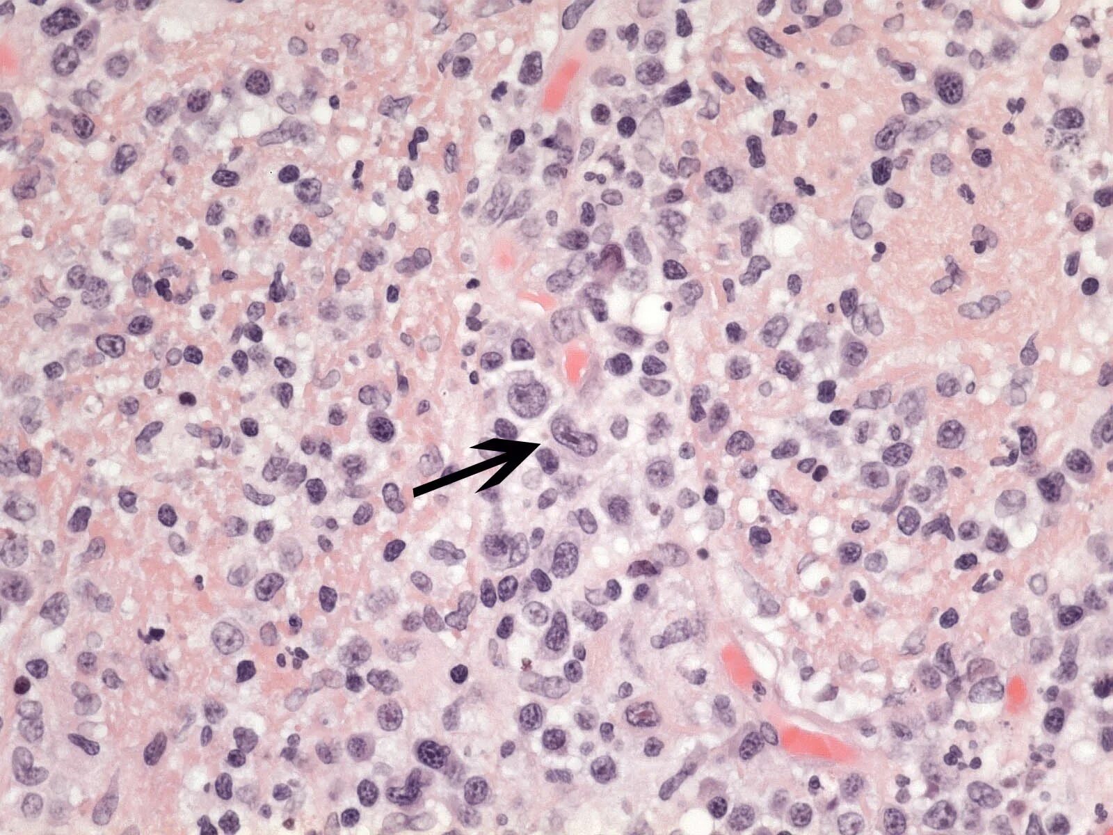
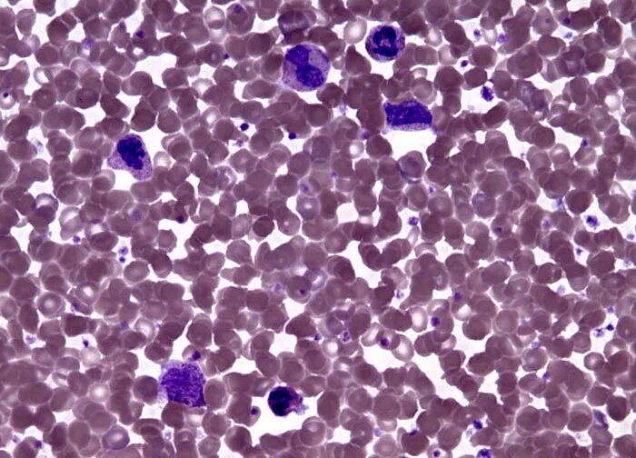
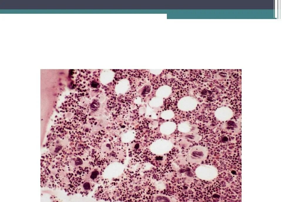
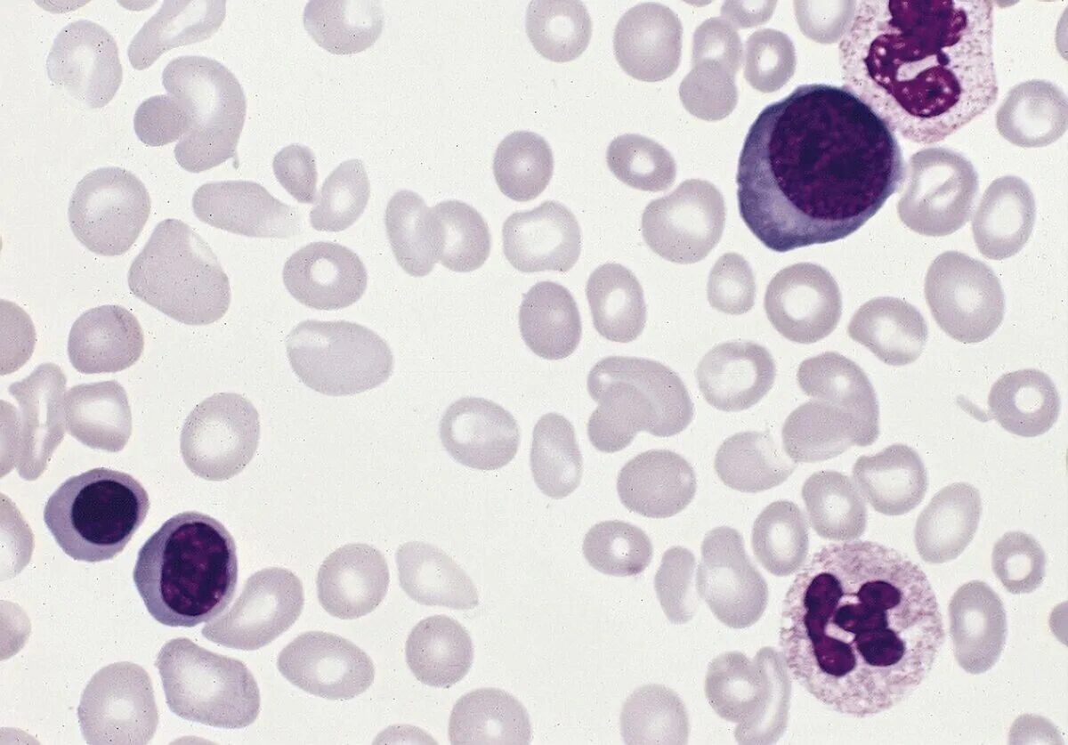
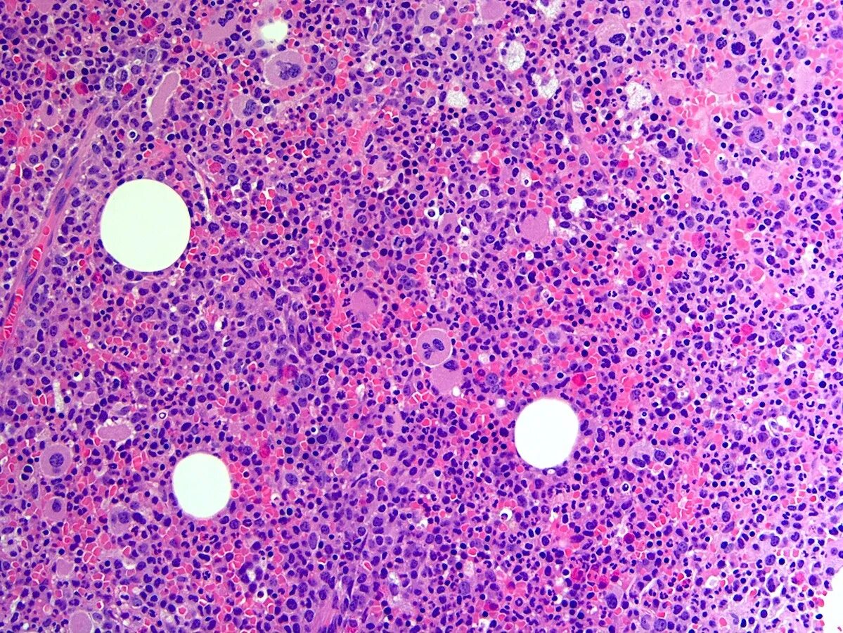
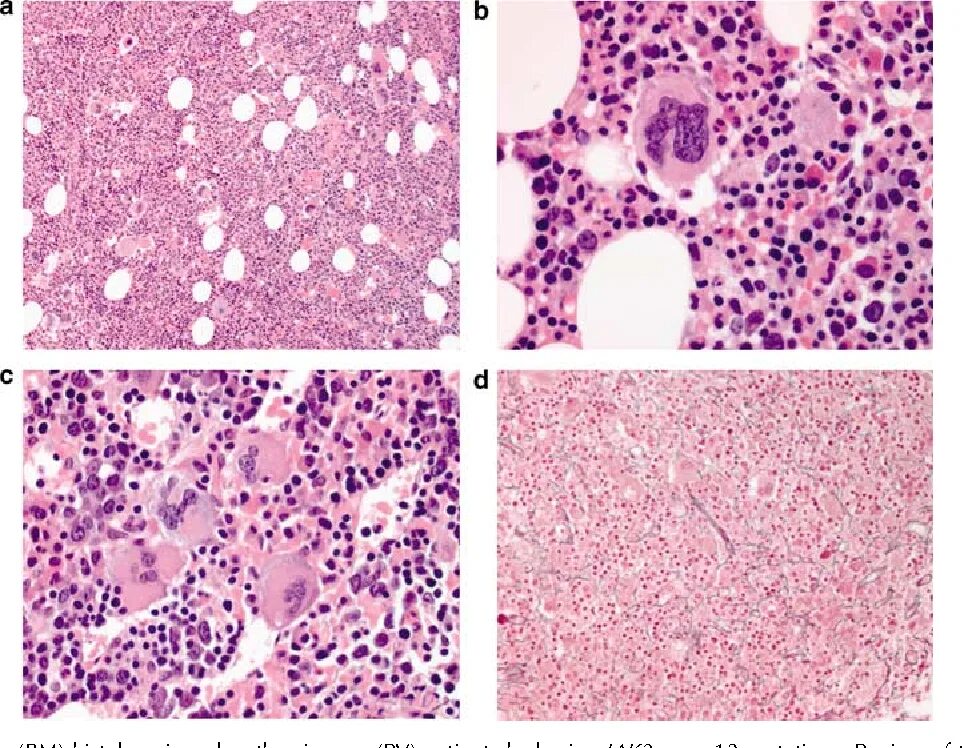
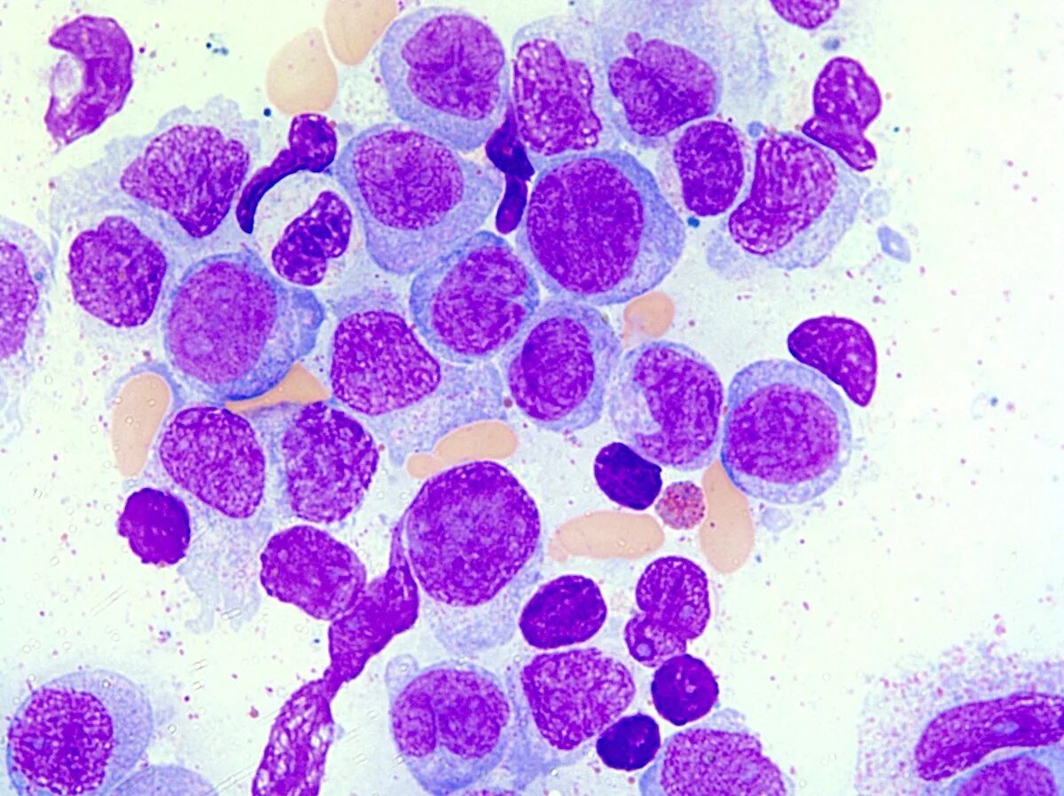
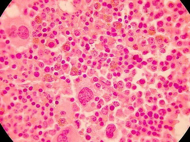
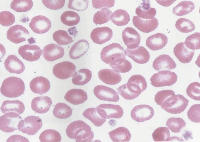
Эритремия лейкоз