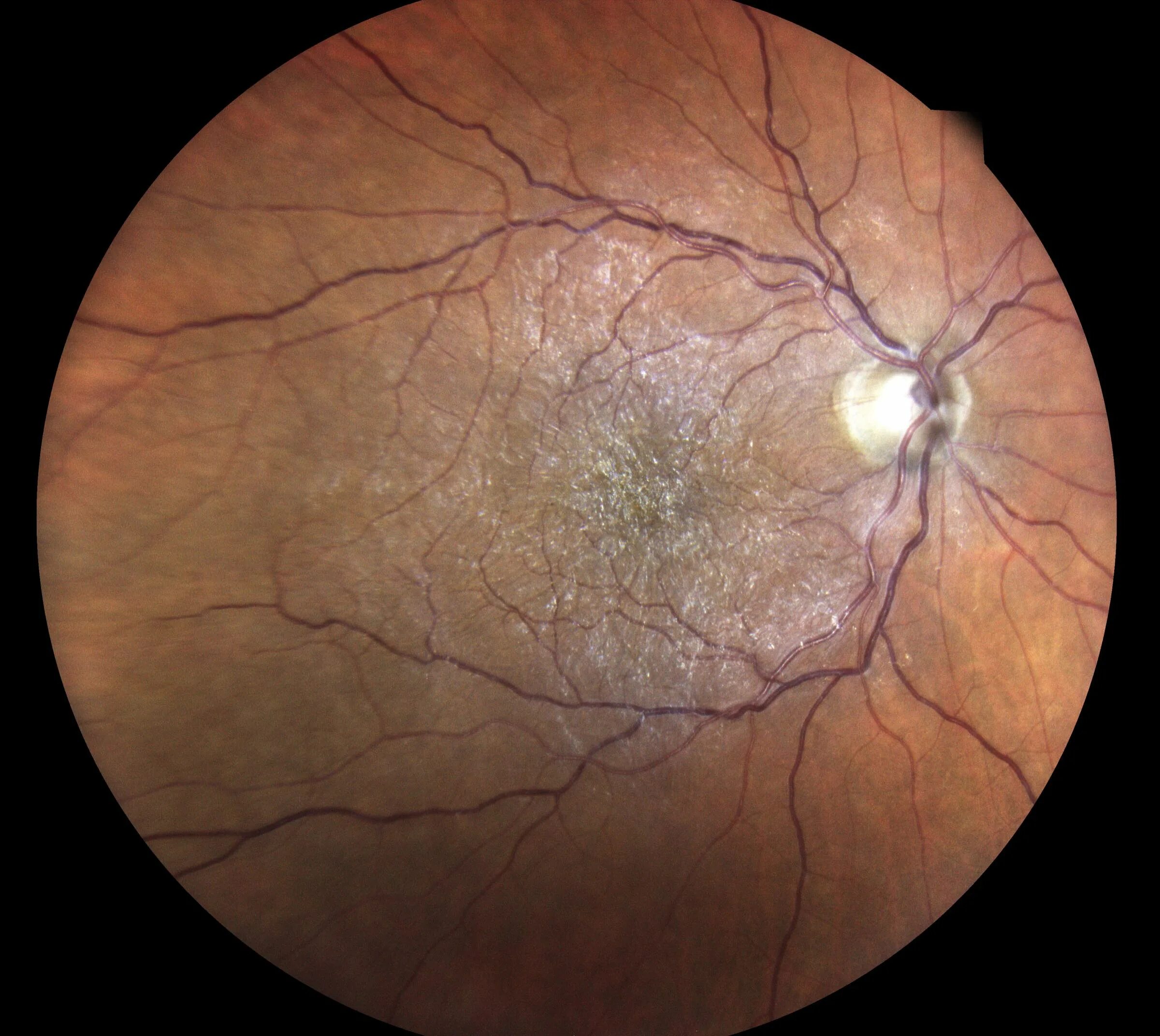
Эпиретинальный фиброз глаза что это