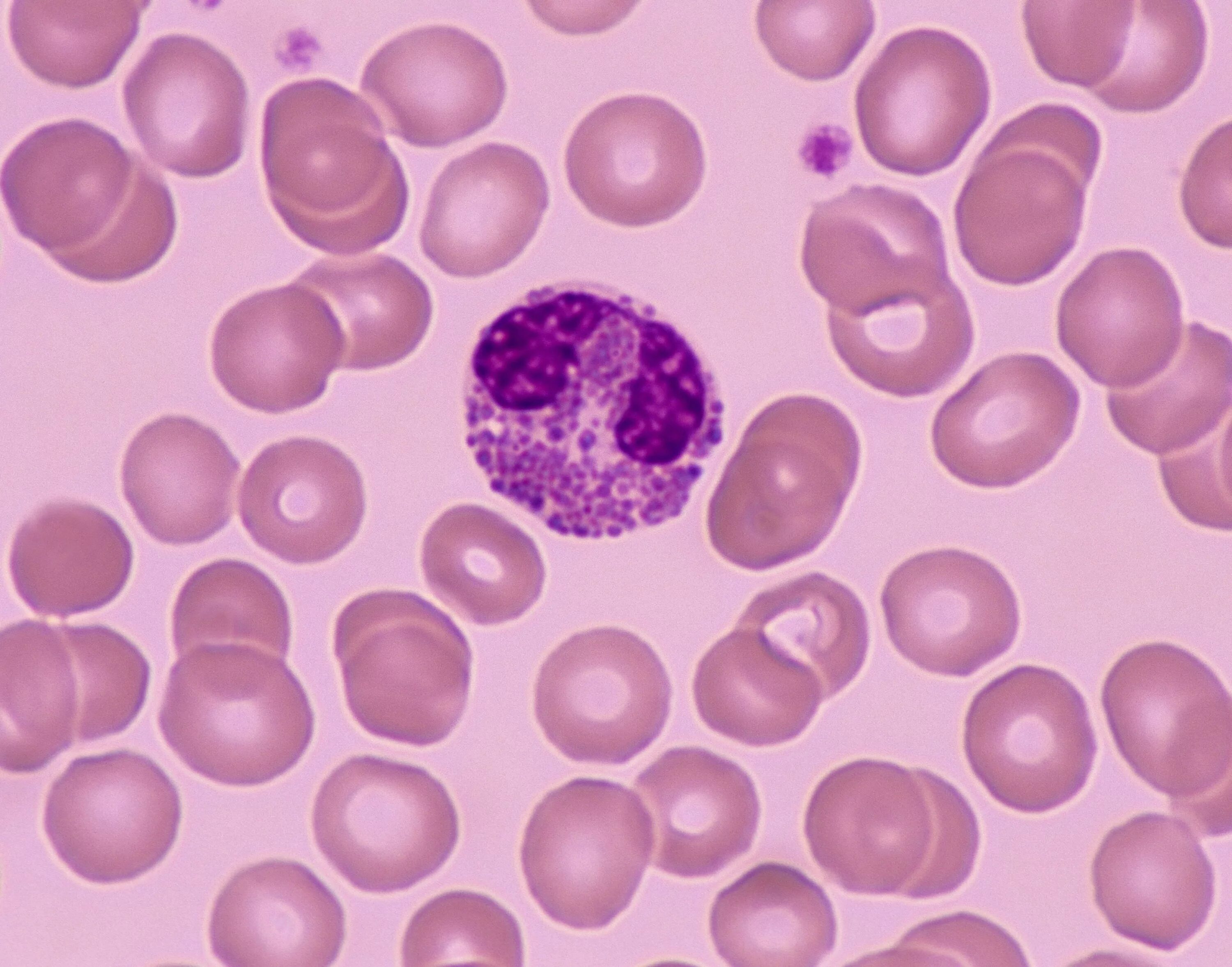
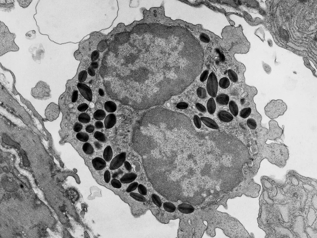
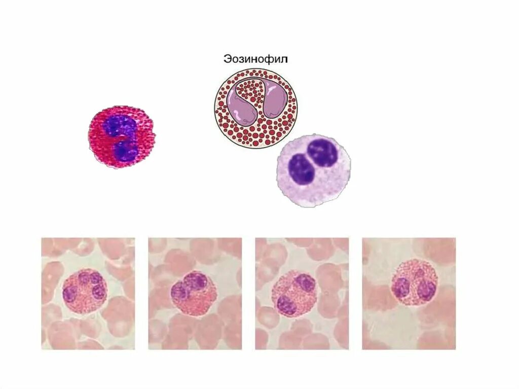
Эозинофилы гистология