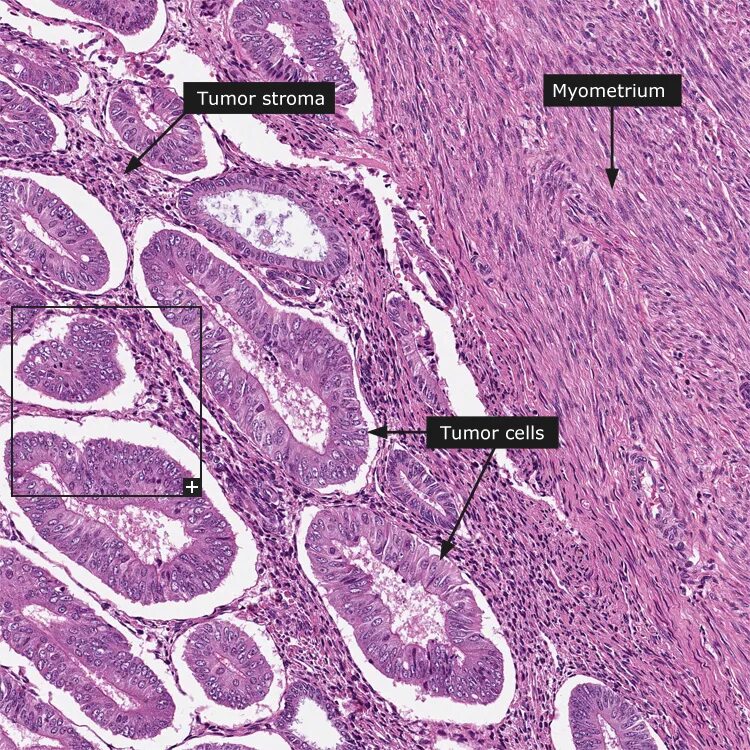
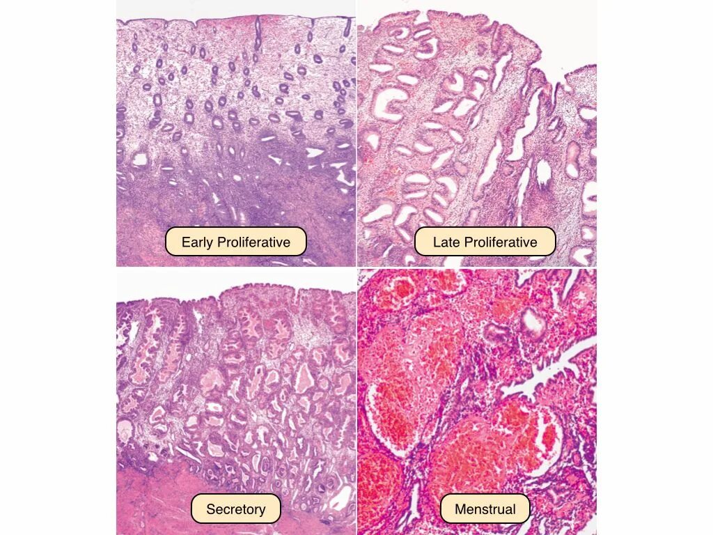
Эндометрий гистология