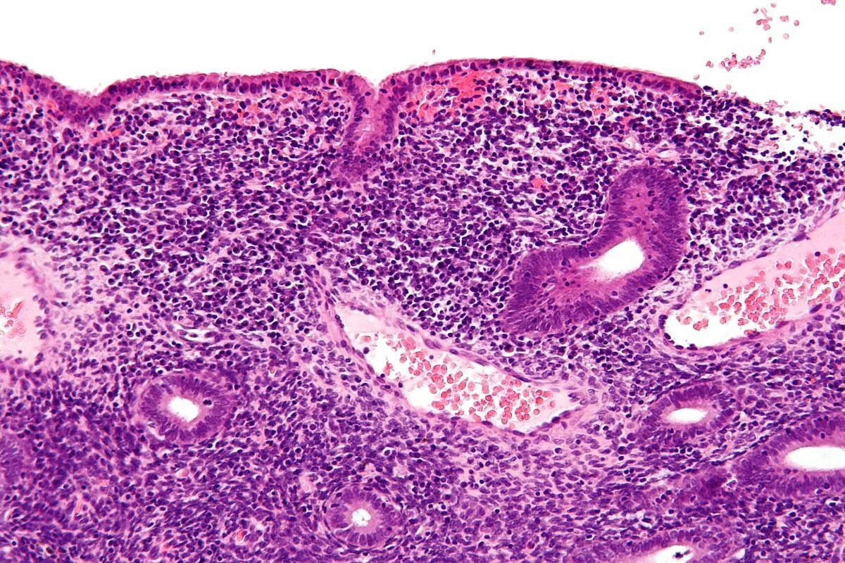
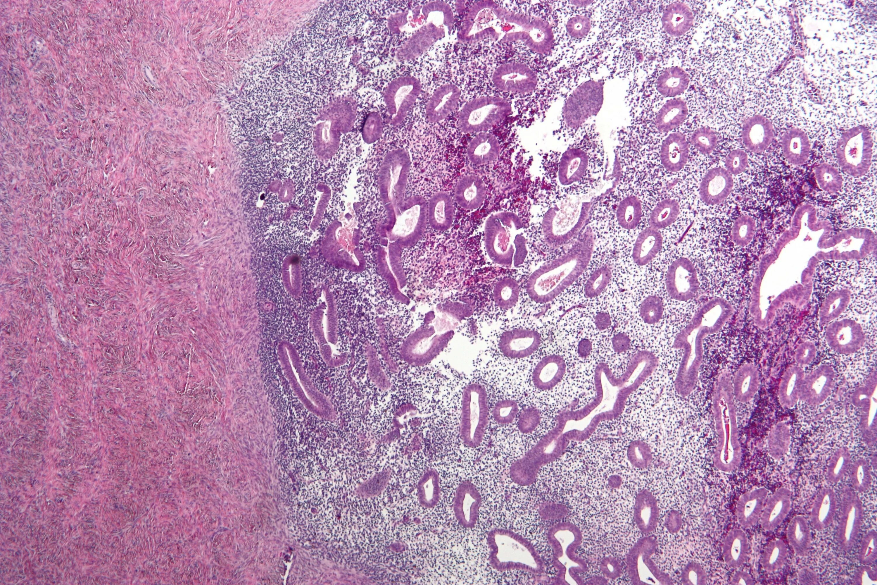
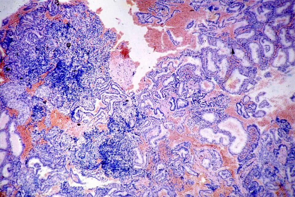
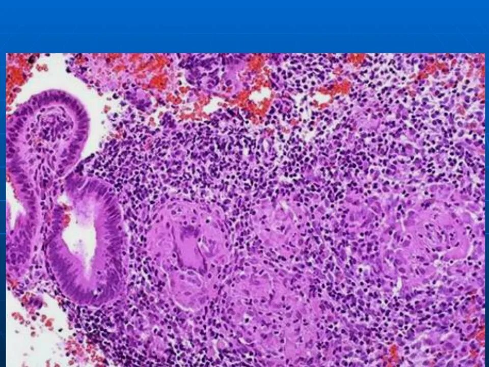
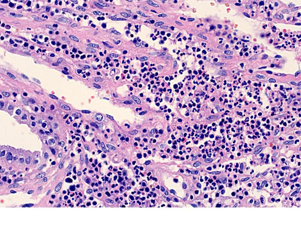
Эндометрит гистология