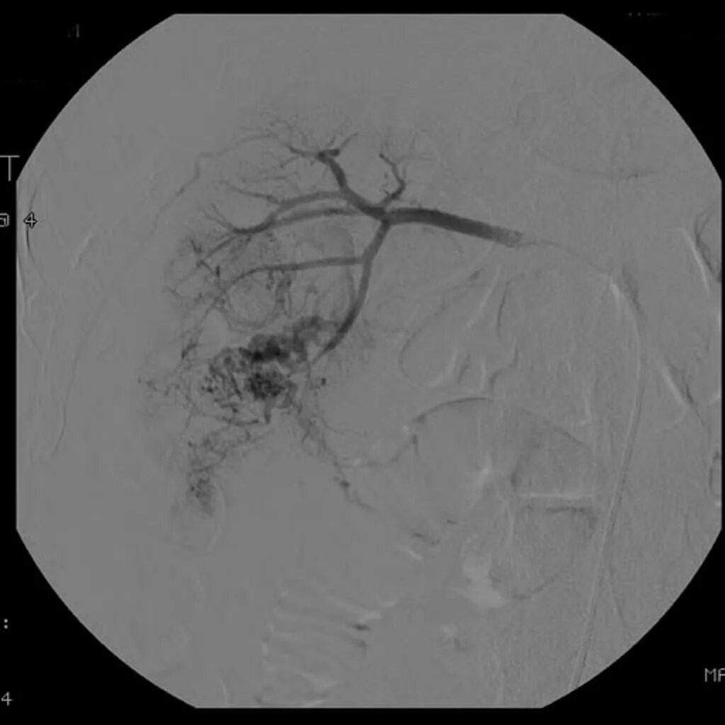
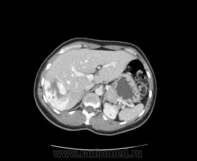
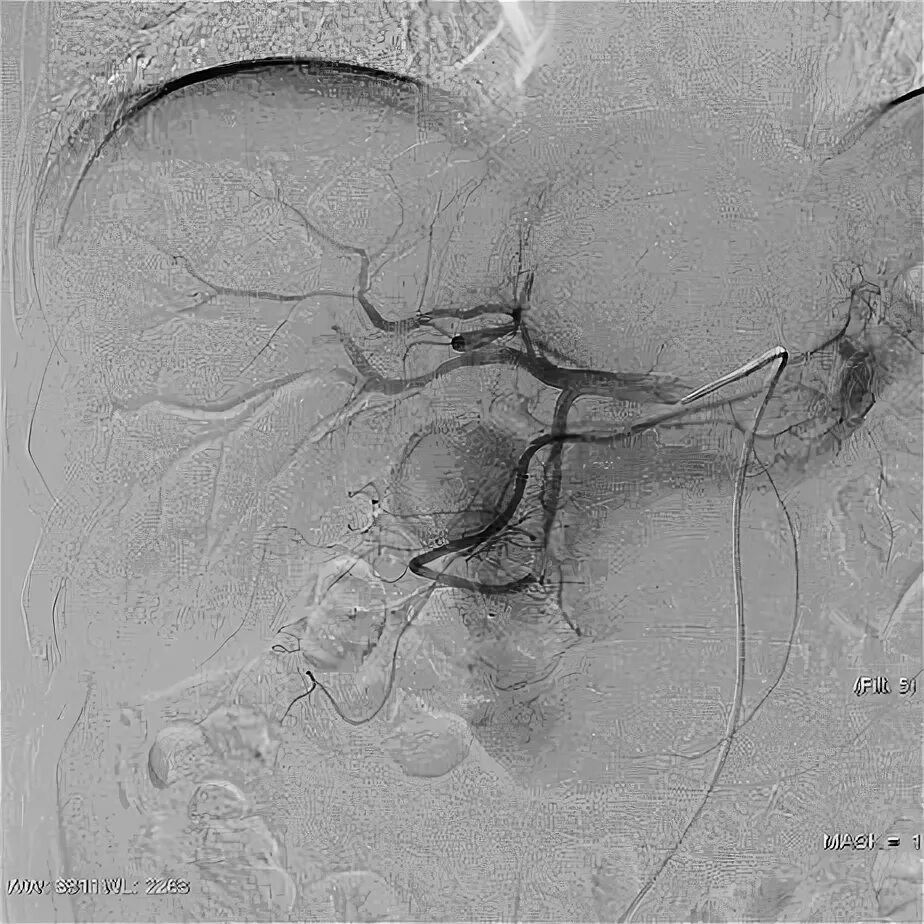
Эмболизация гемангиомы