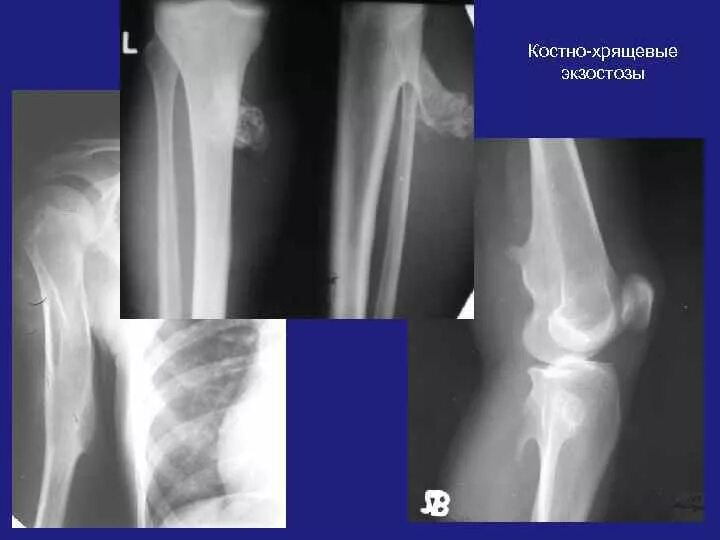
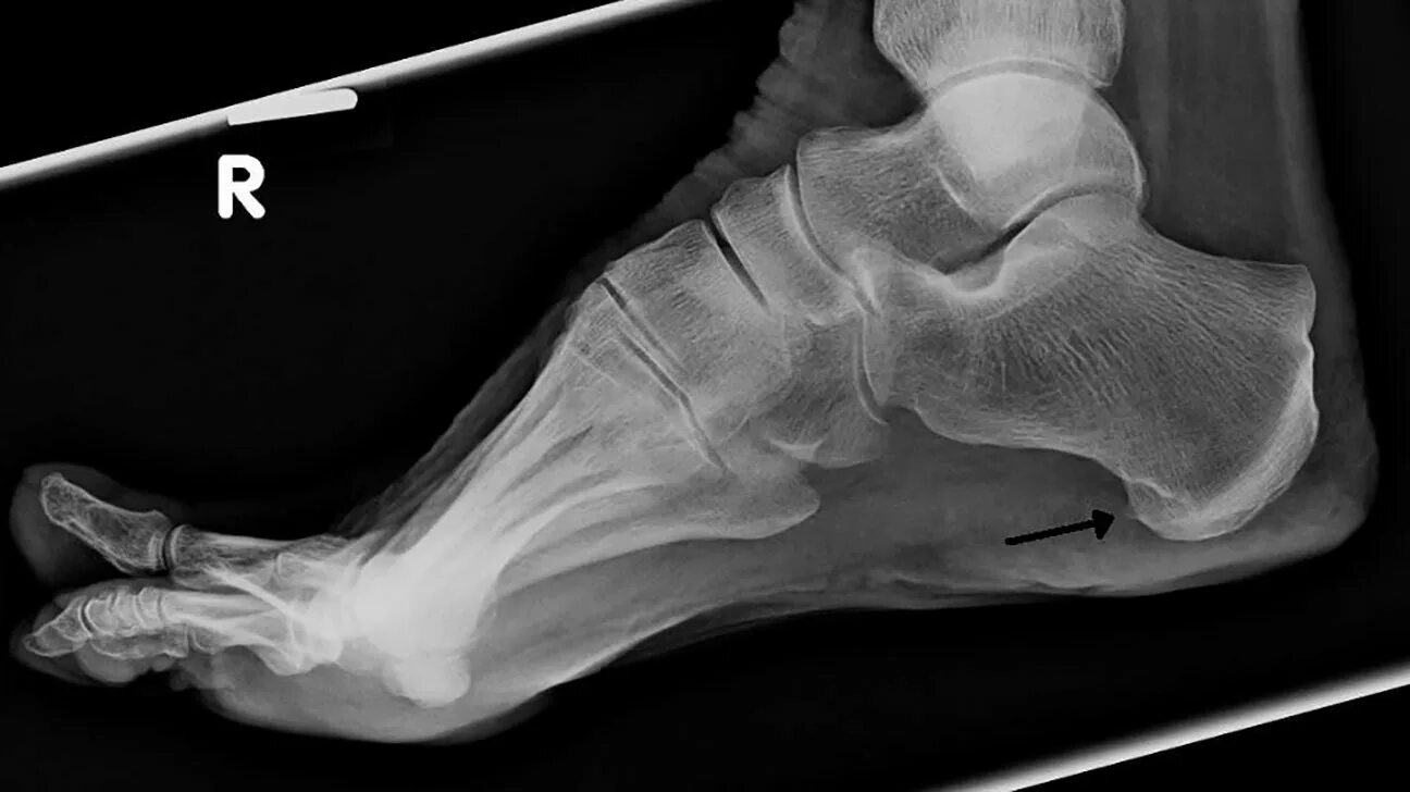
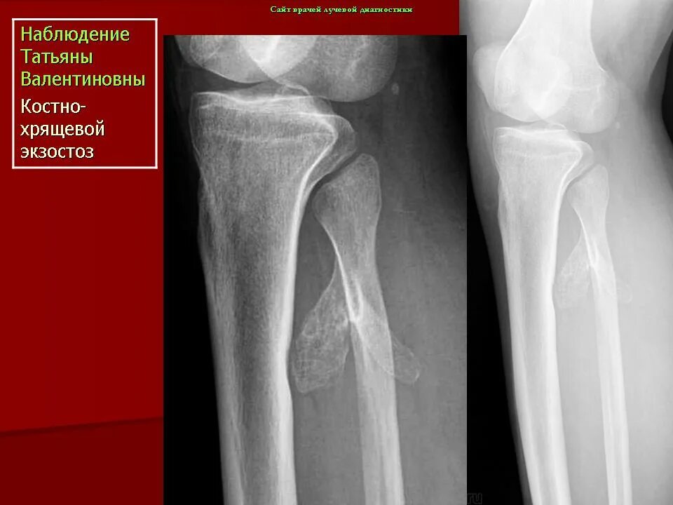
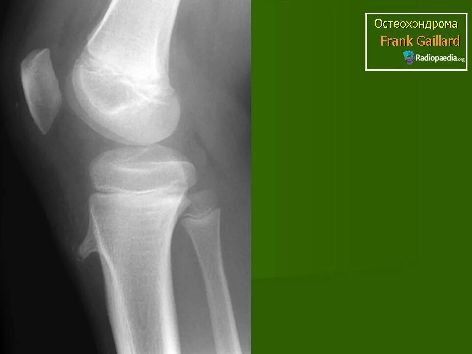
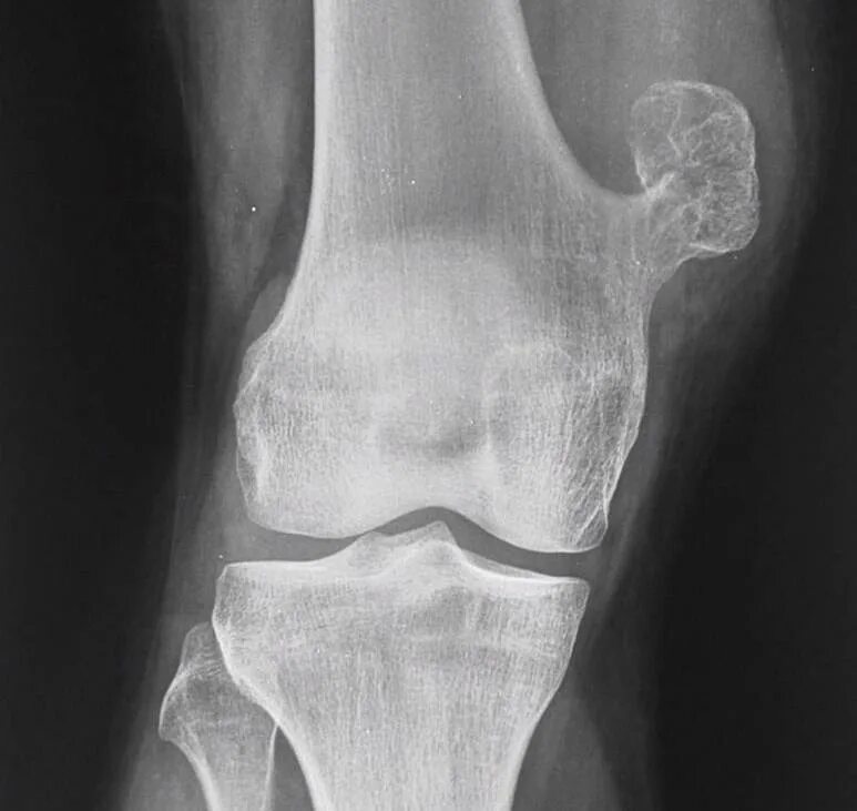
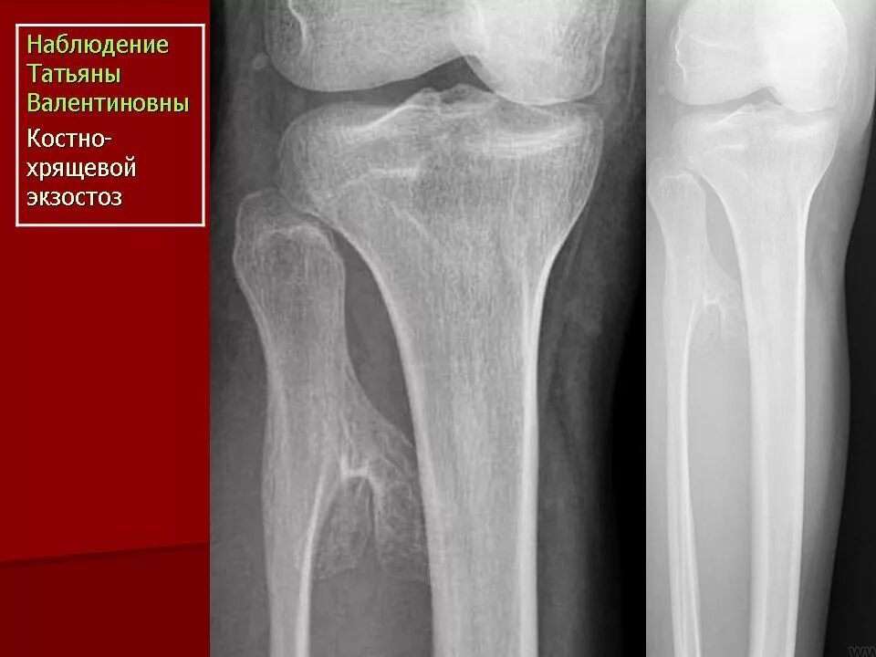
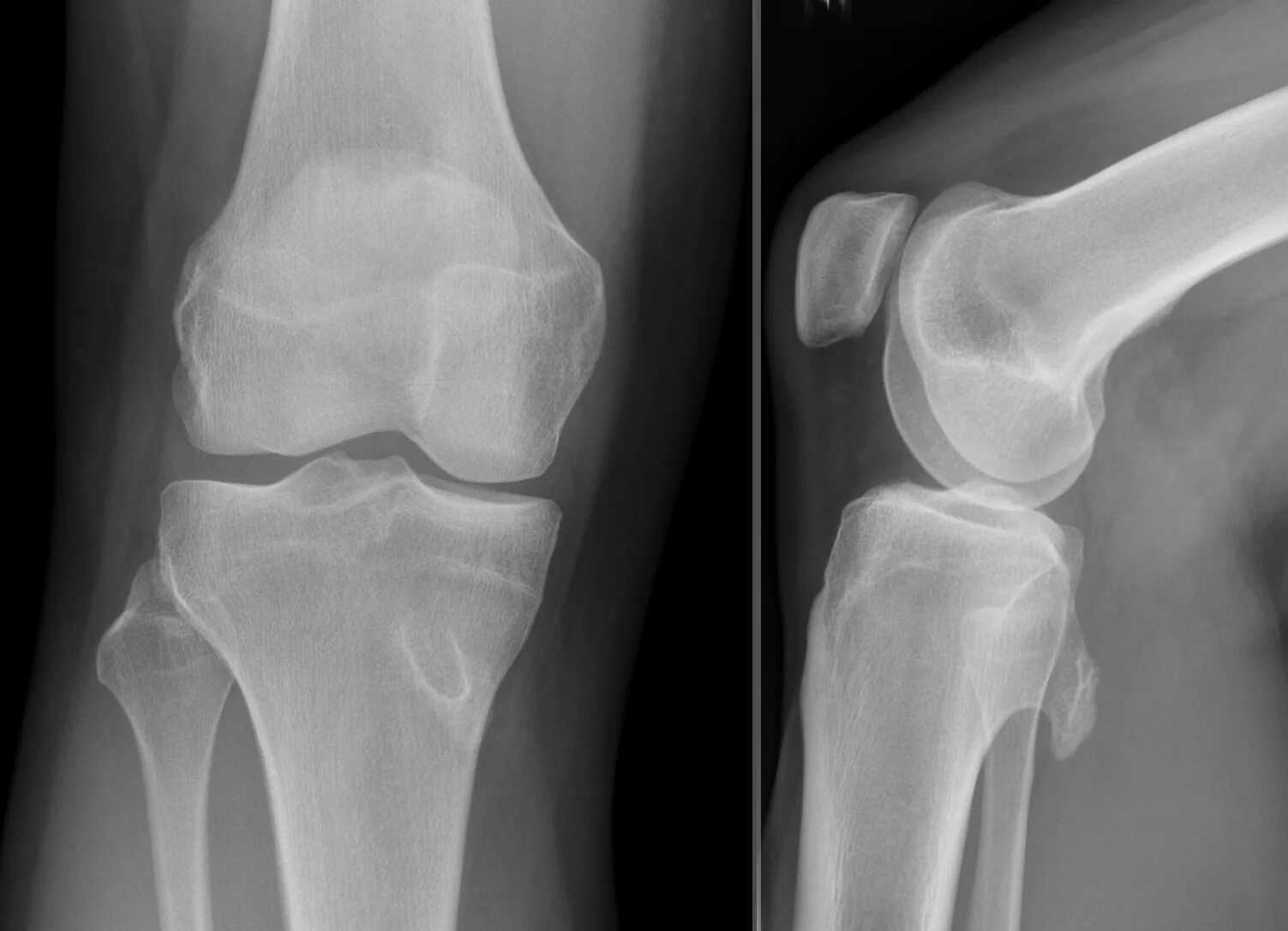
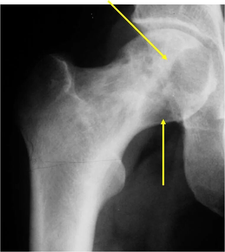
Экзостоз мкб 10