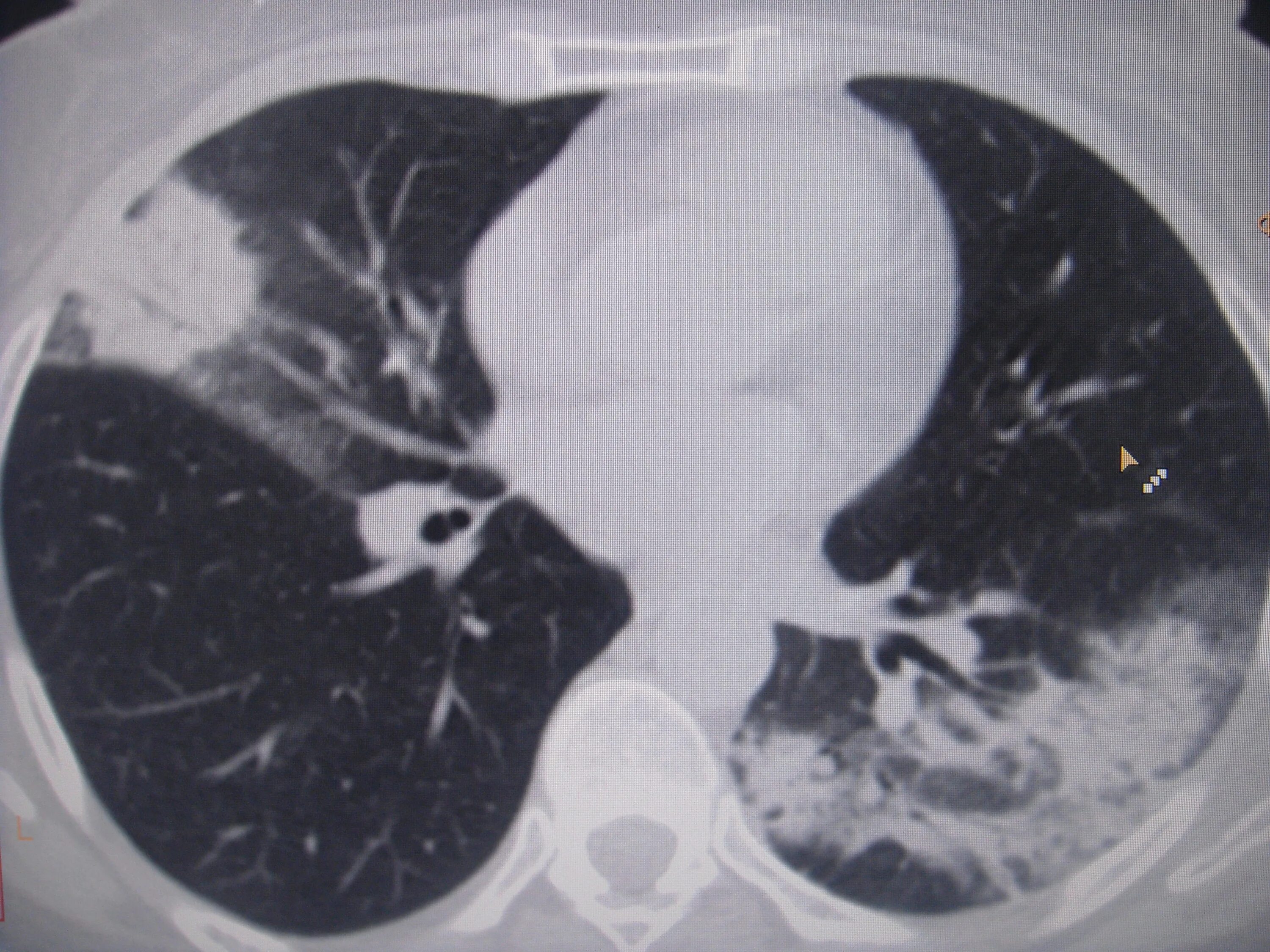
Двусторонняя сегментарная