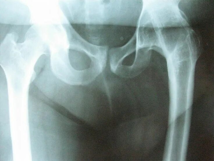
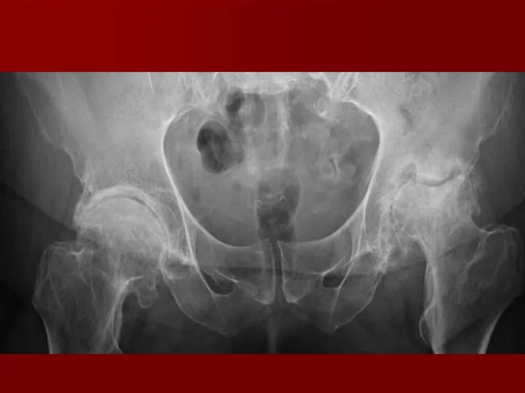
Доа тазобедренных суставов 1 степени что это