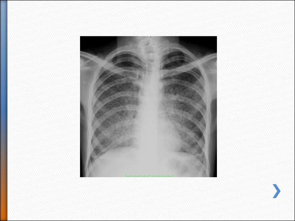
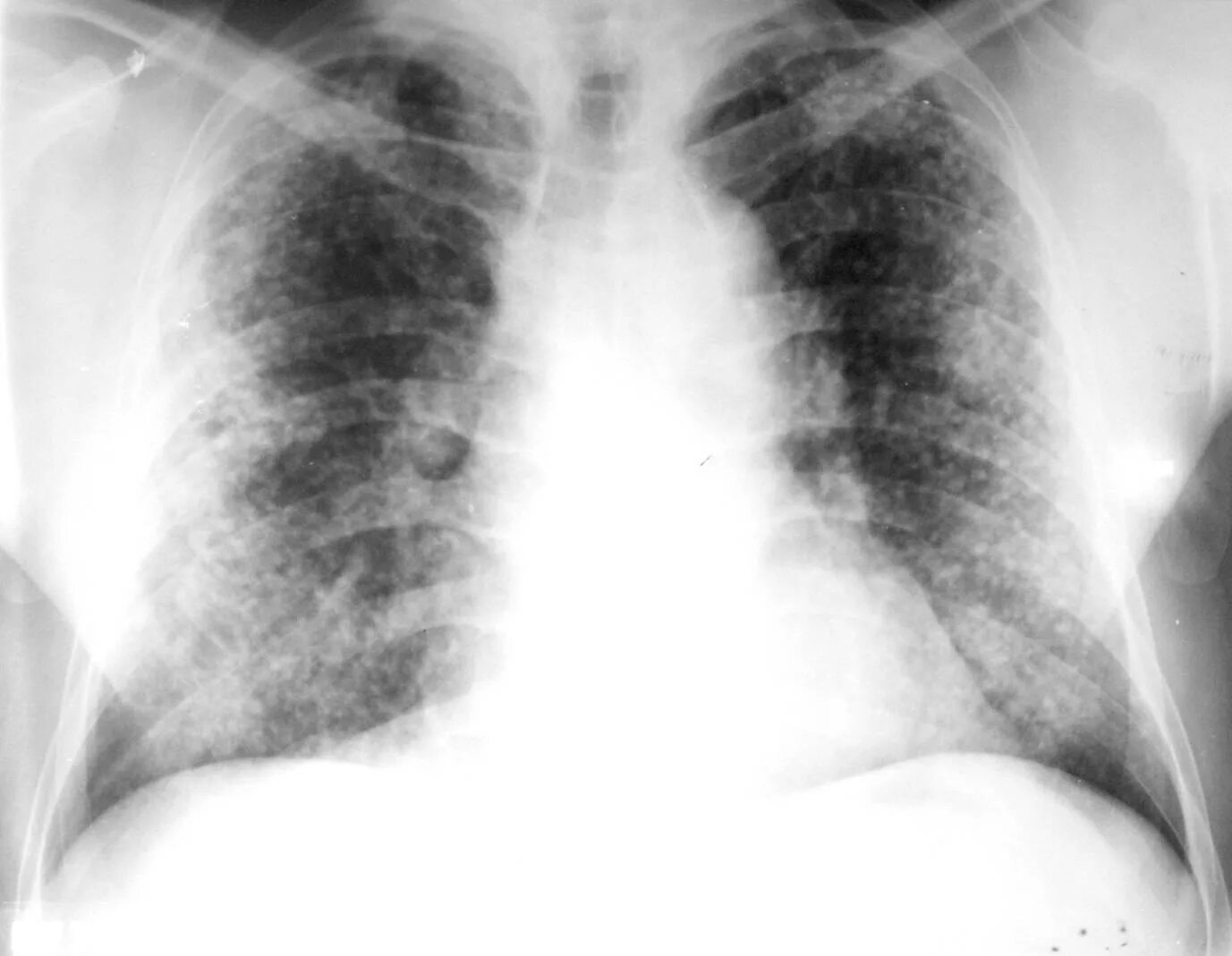
Диссеминированный туберкулез фаза инфильтрации