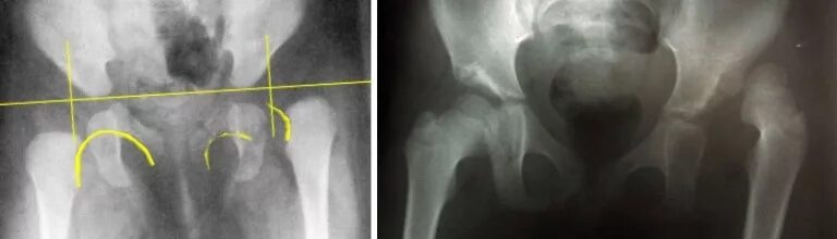
Дисплазия тазобедренных суставов как выглядит