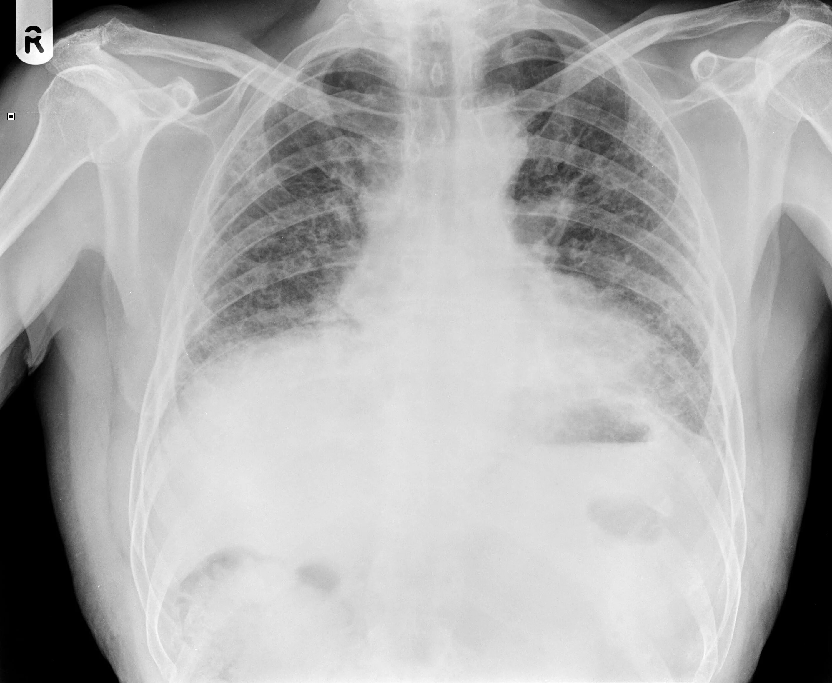
Диффузный пневмосклероз