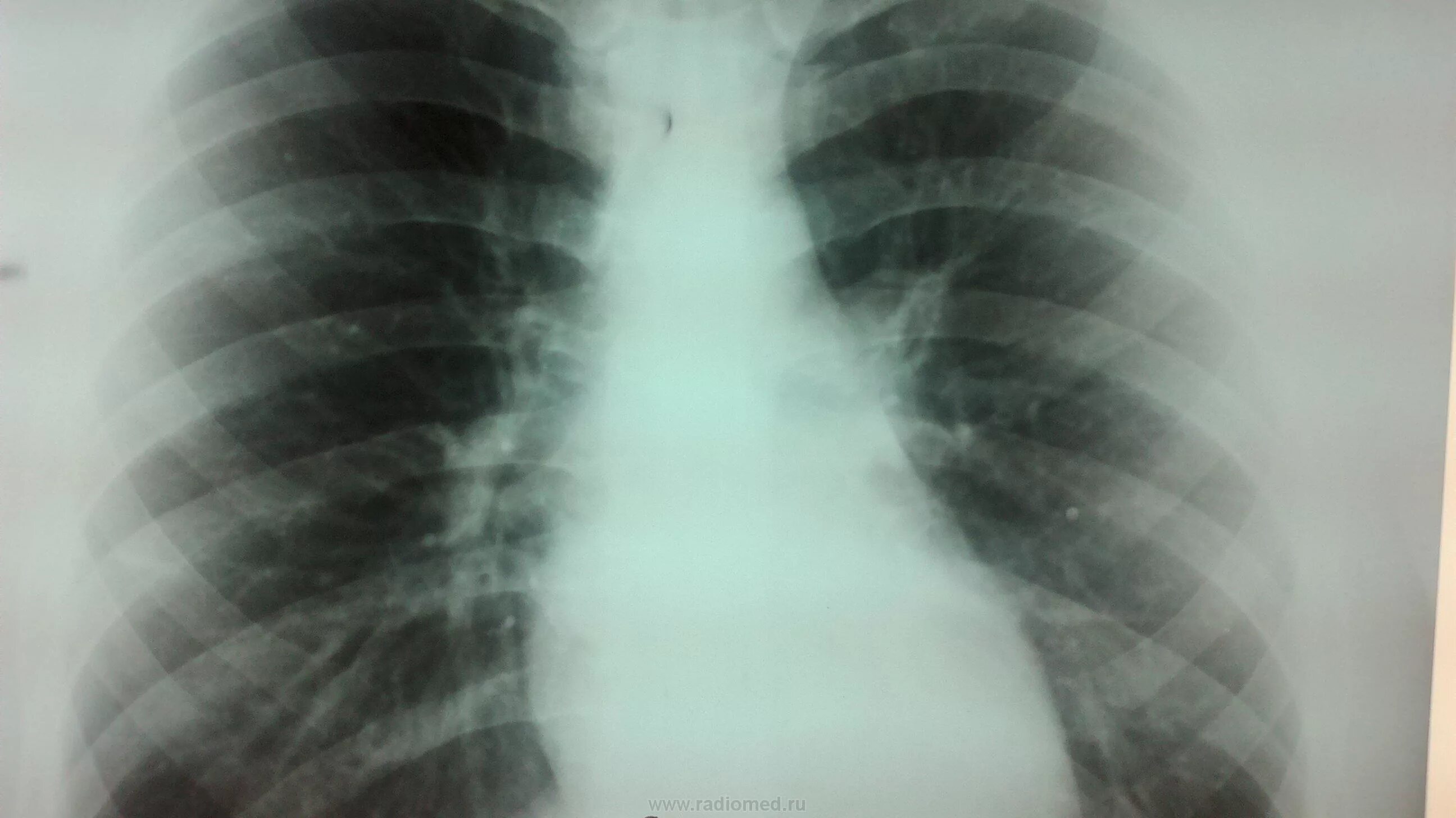
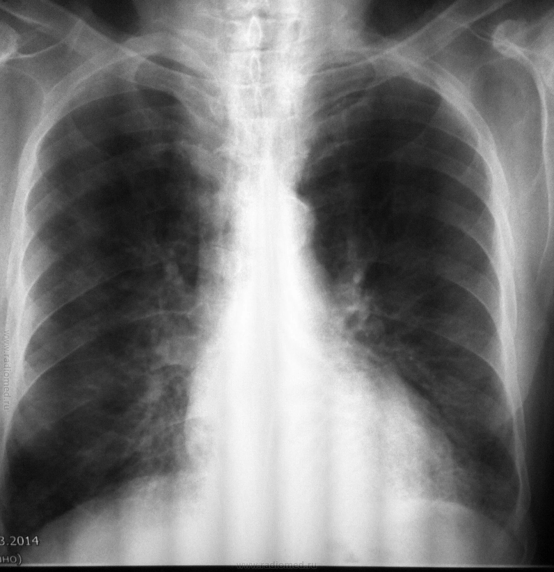
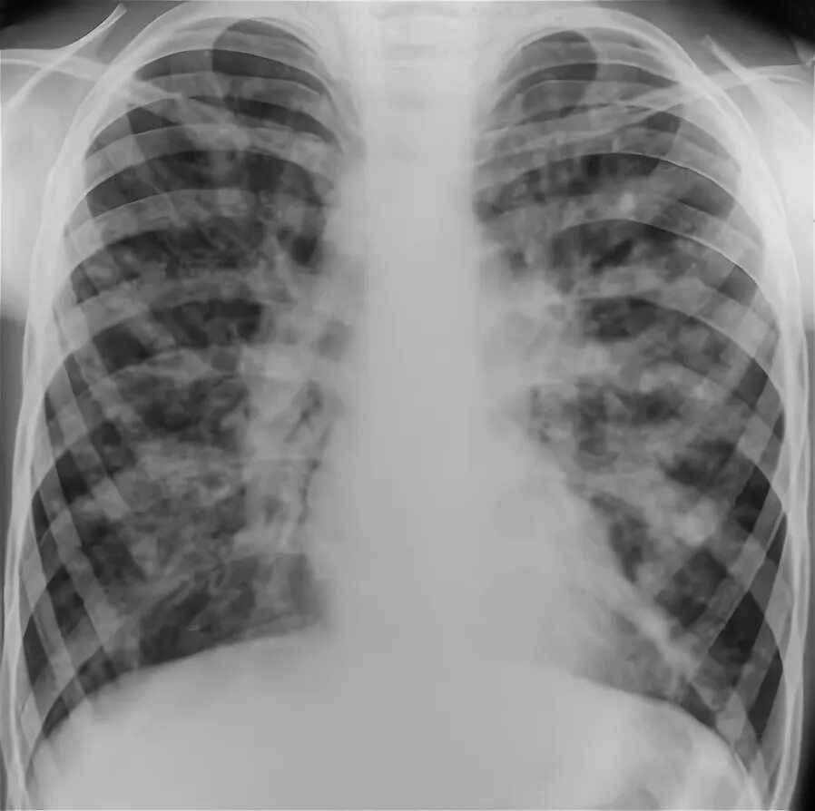
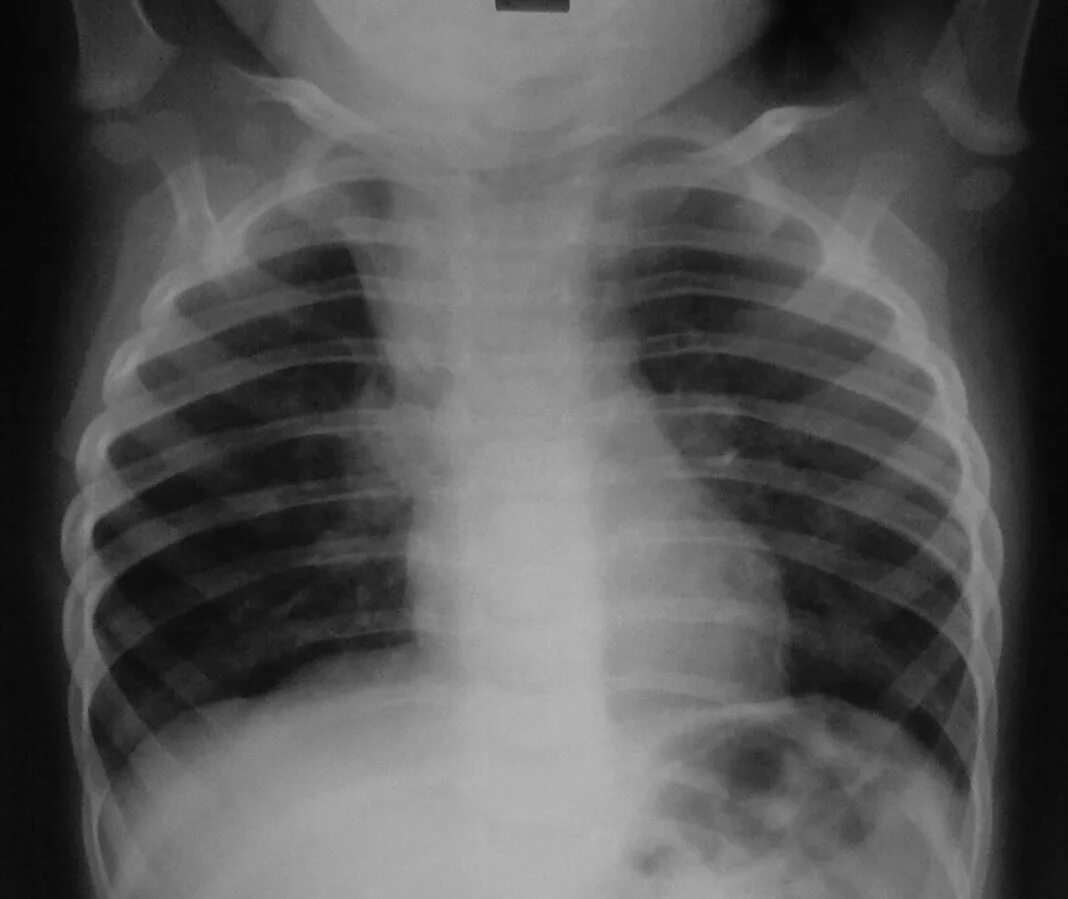
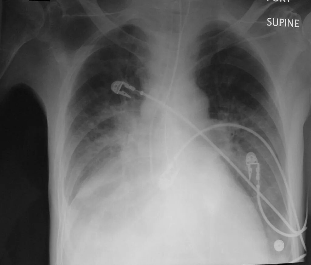
Диффузный эндобронхит