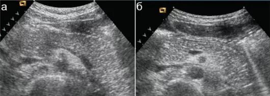
Диффузные изменения печени липоматоза