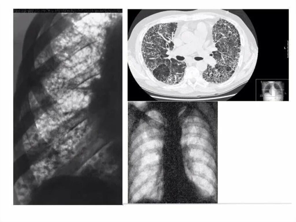
Диффузную системную склеродермию