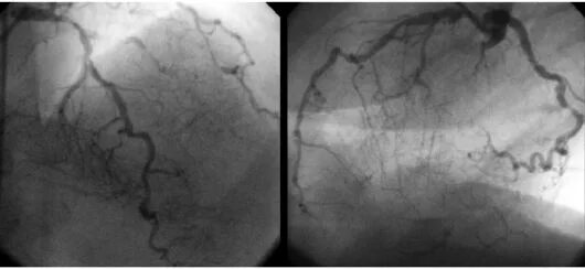
Диффузное поражение артерий