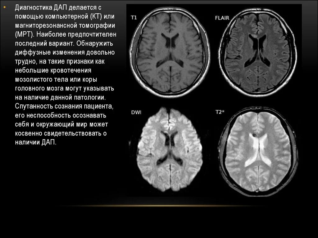
Диффузное аксональное повреждение