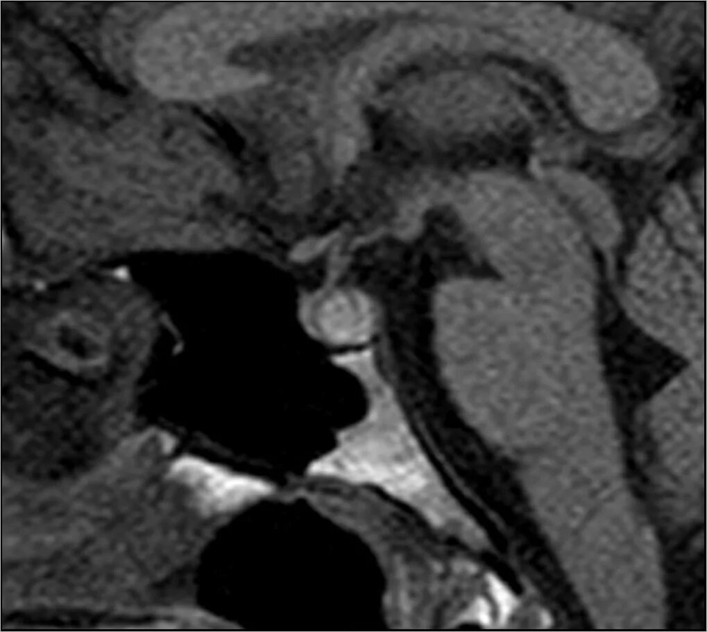
Диффузная структура гипофиза