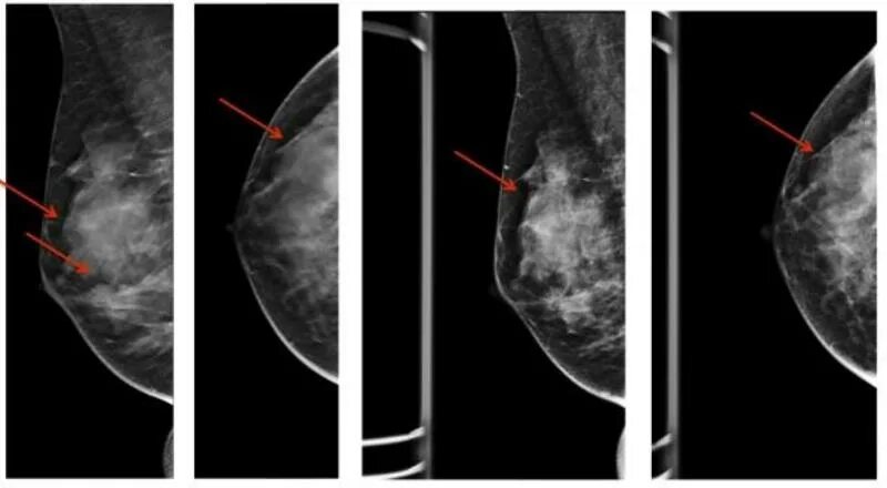
Диффузная мастопатия с преобладанием фиброзного