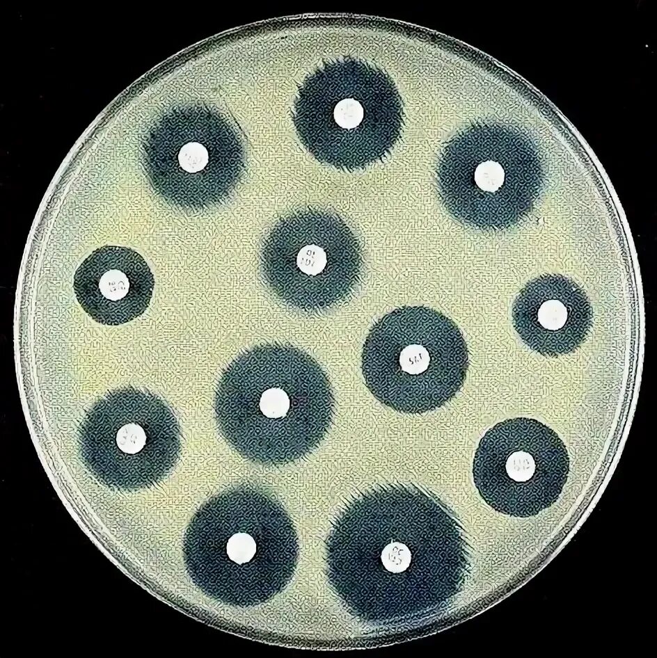
Диффузия в агар