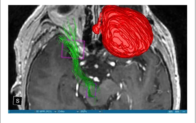
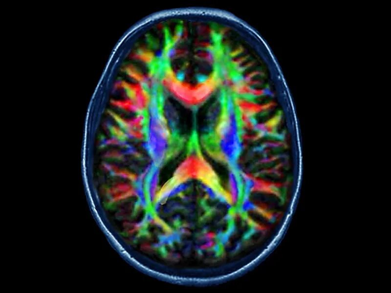
Diffusion tensor