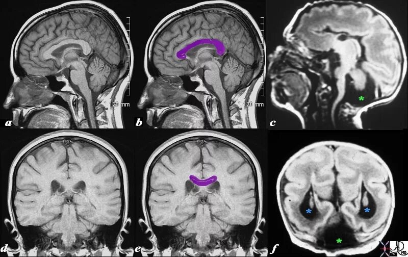
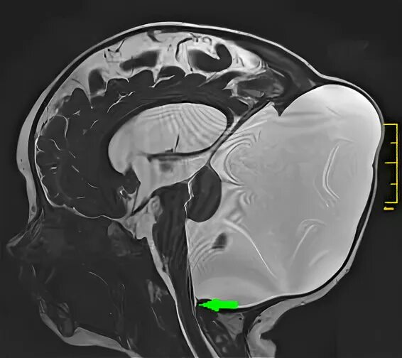
Денди уокер у взрослых