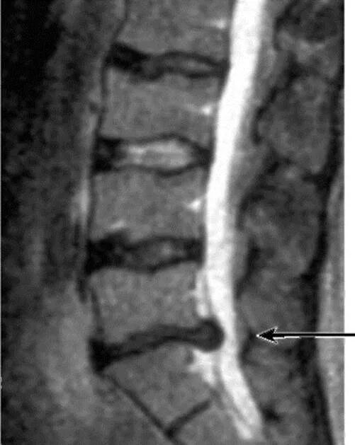
Дегенерация межпозвонкового диска по pfirrmann