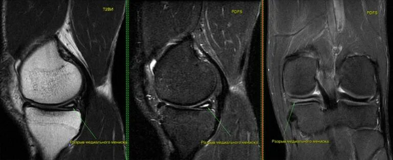
Дегенеративное повреждение внутреннего мениска 2 степени