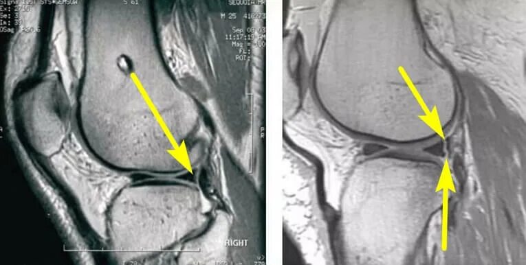
Дегенеративное изменение мениска 1 степени по stoller