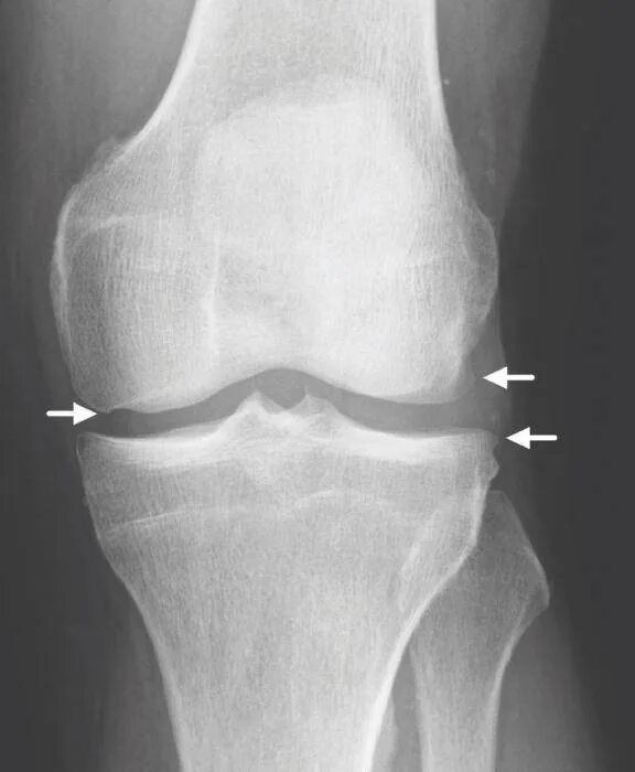
Деформирующий остеоартроз коленного сустава 1