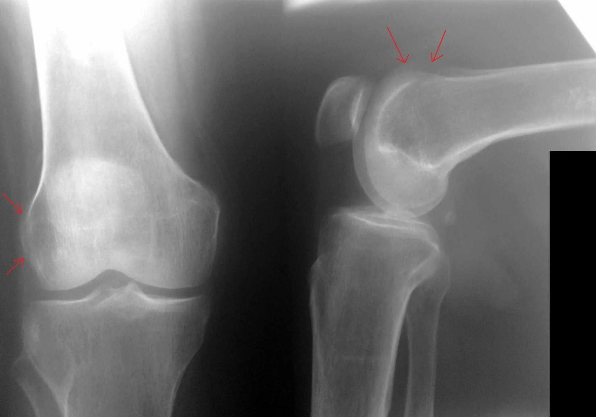
Деформирующий гонартроз коленных суставов 2 степени