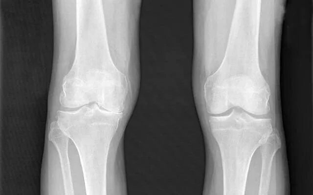
Деформирующий артроз коленных