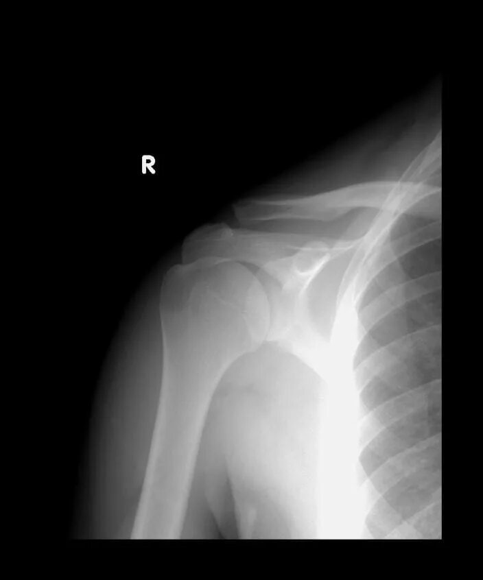
Деформирующий акромиально ключичного сочленения