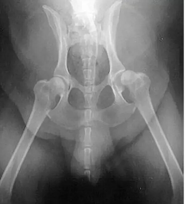
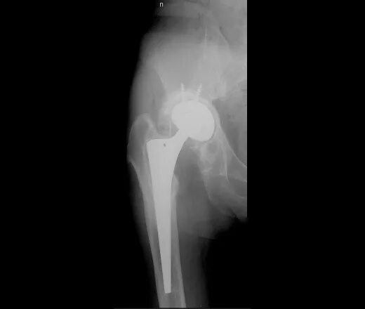
Деформация тазобедренного