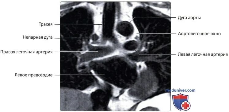
Дефект аортолегочной перегородки тест