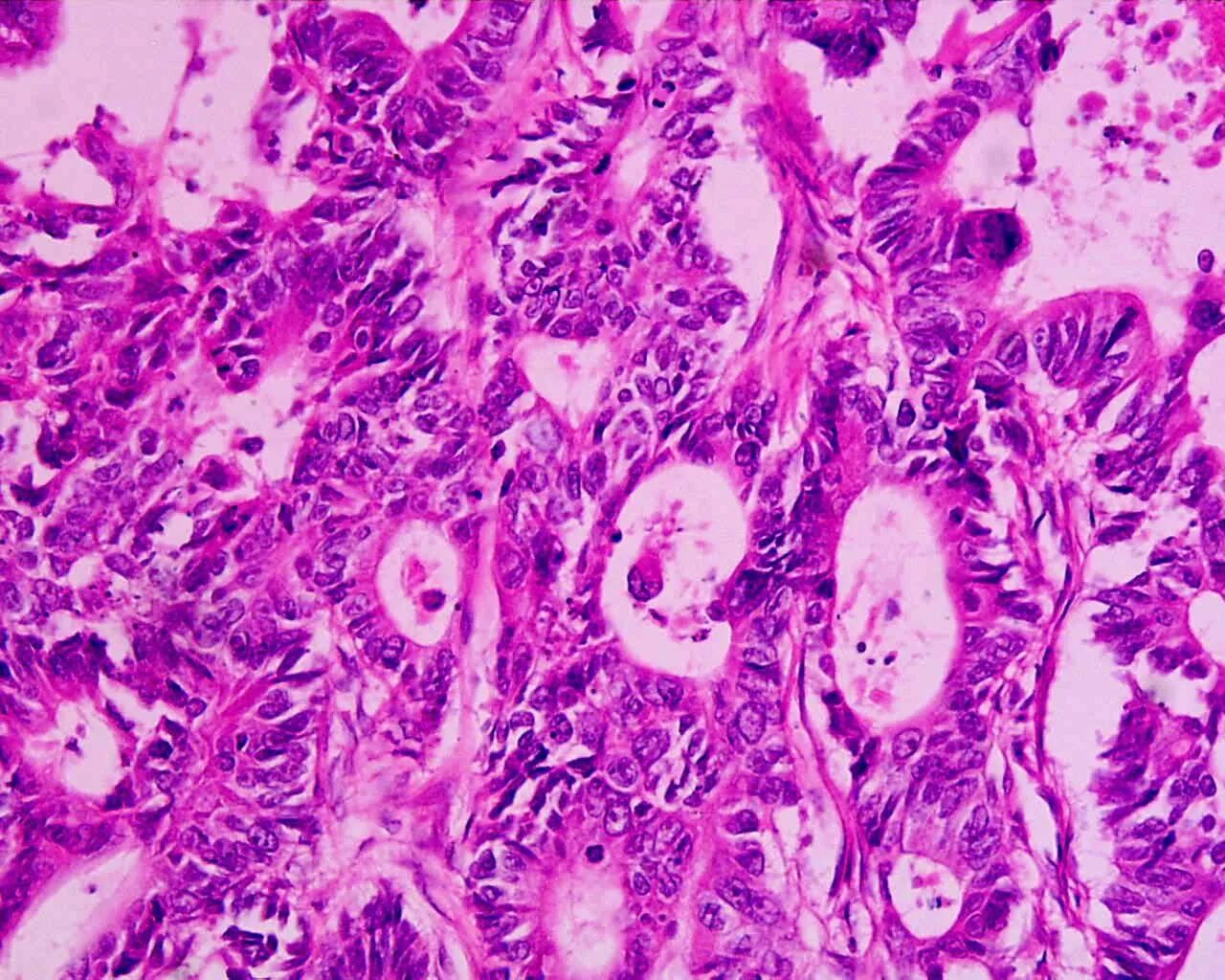
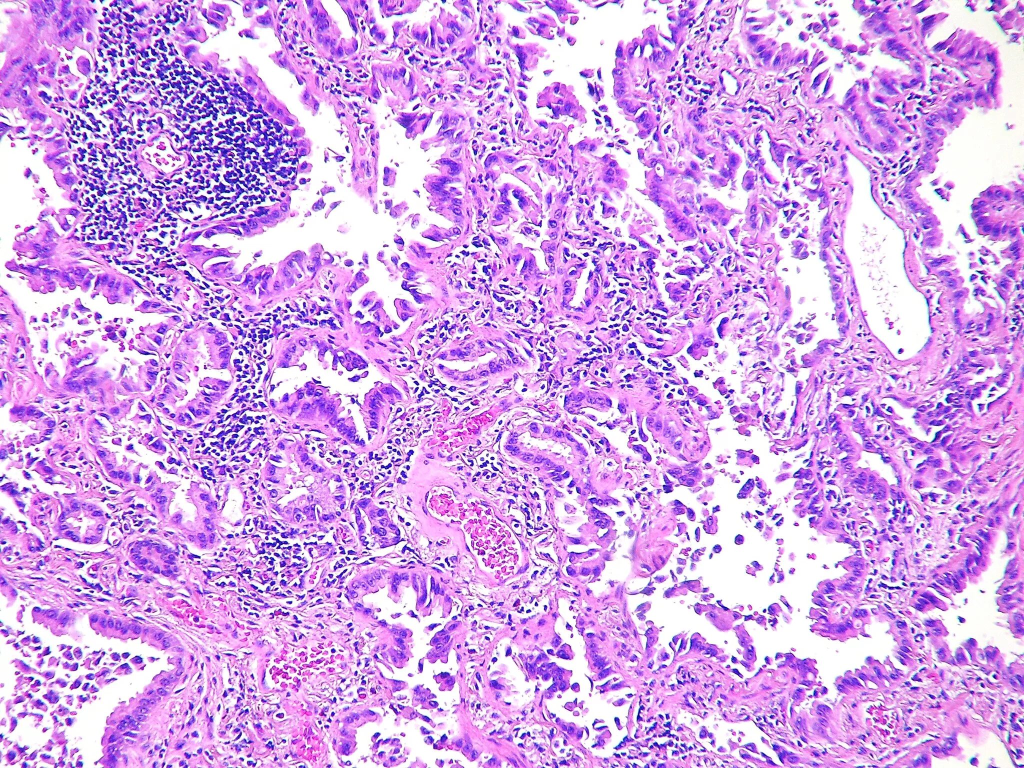
Что значит умеренно дифференцированная аденокарцинома