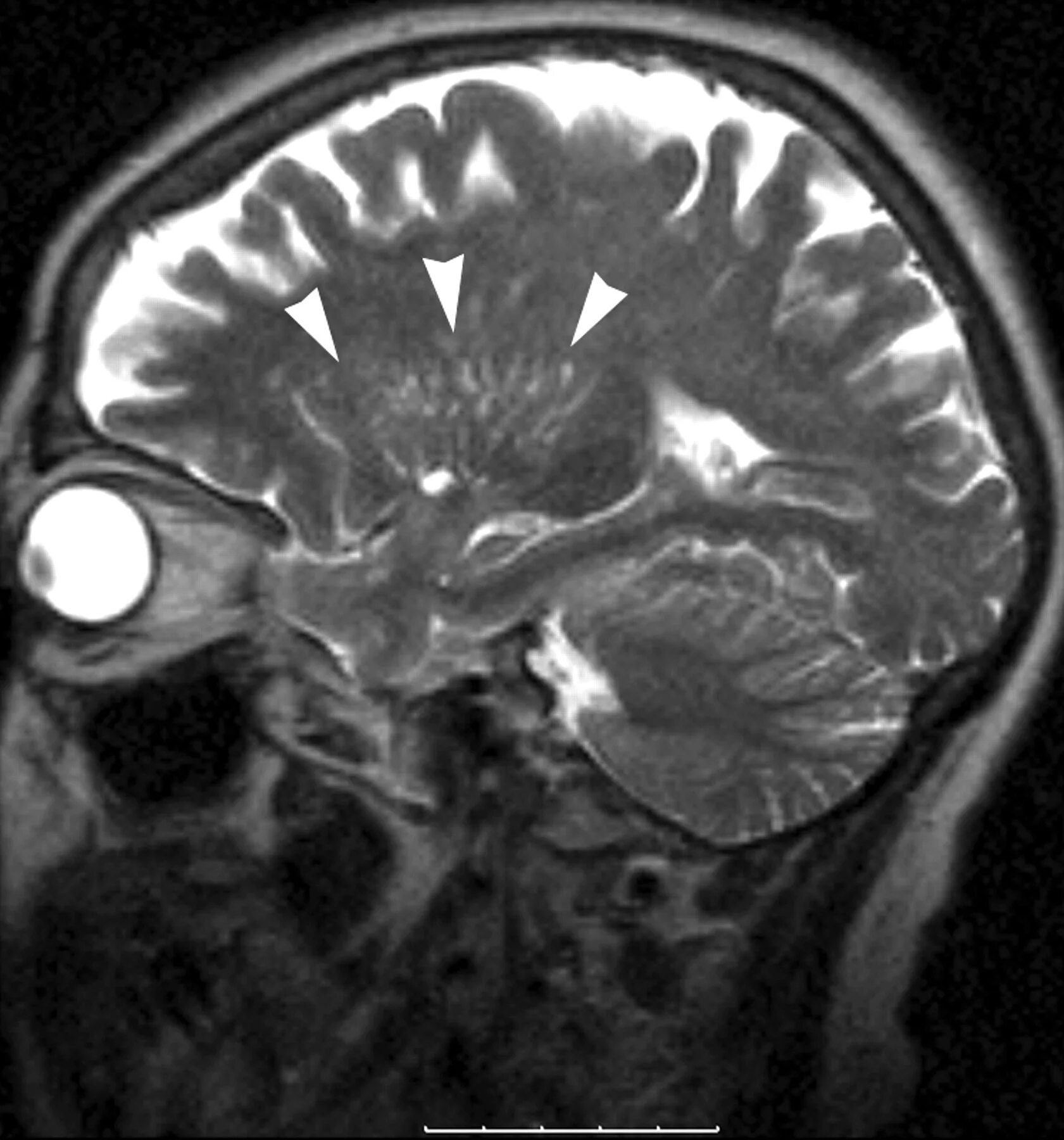
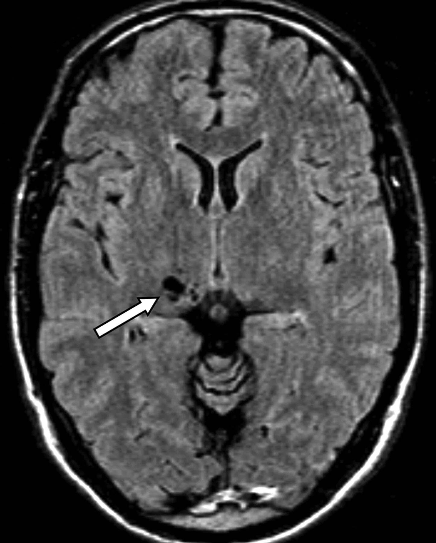
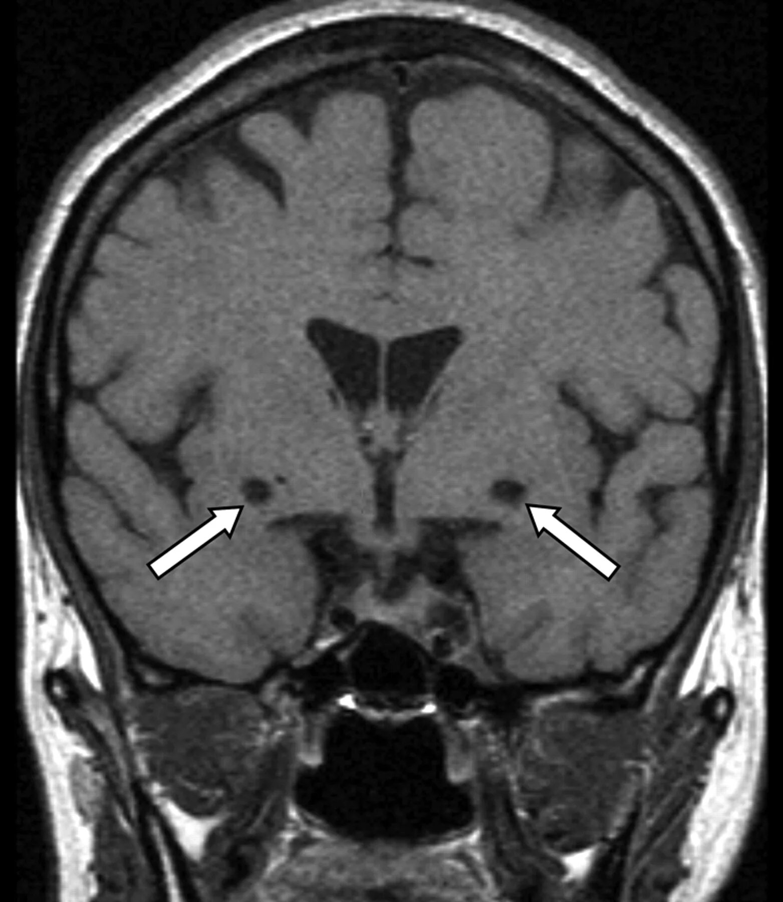
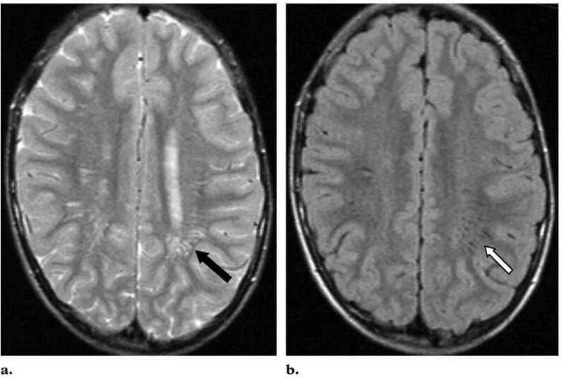
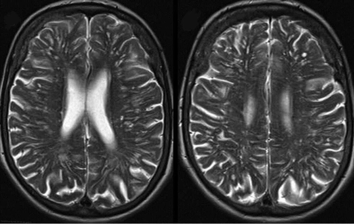
Что значит расширенные периваскулярные пространства