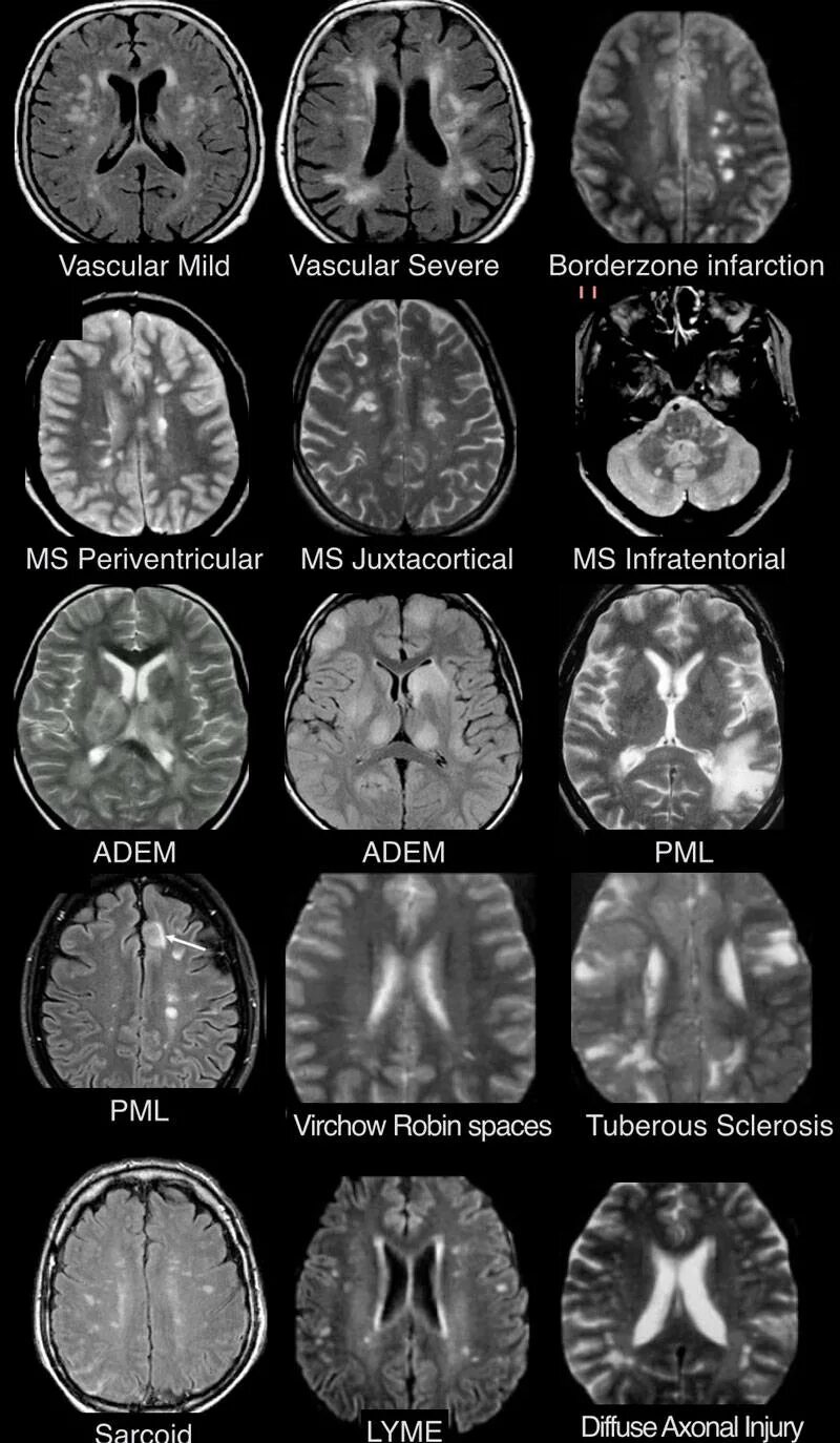
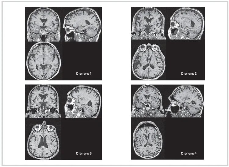
Что значит пространства вирхова робина