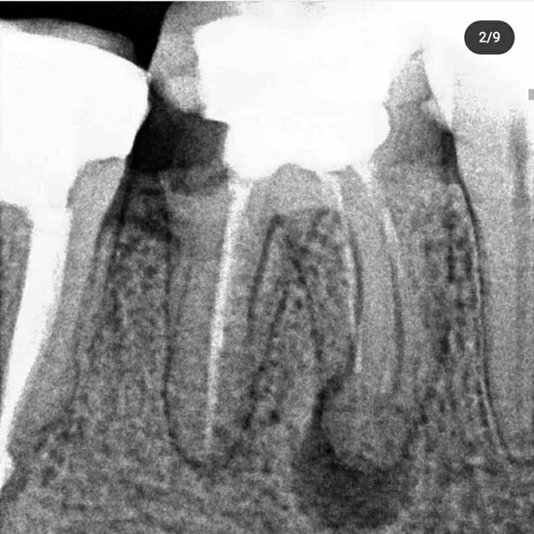
Что значит если зуб реагирует на холодное