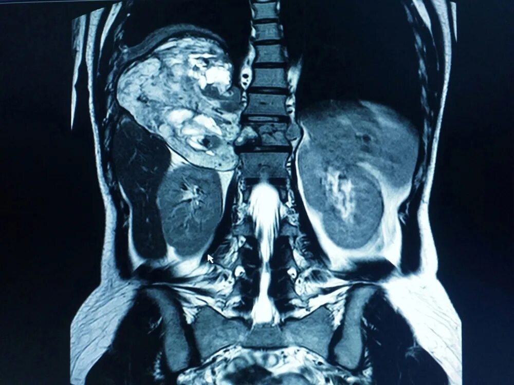
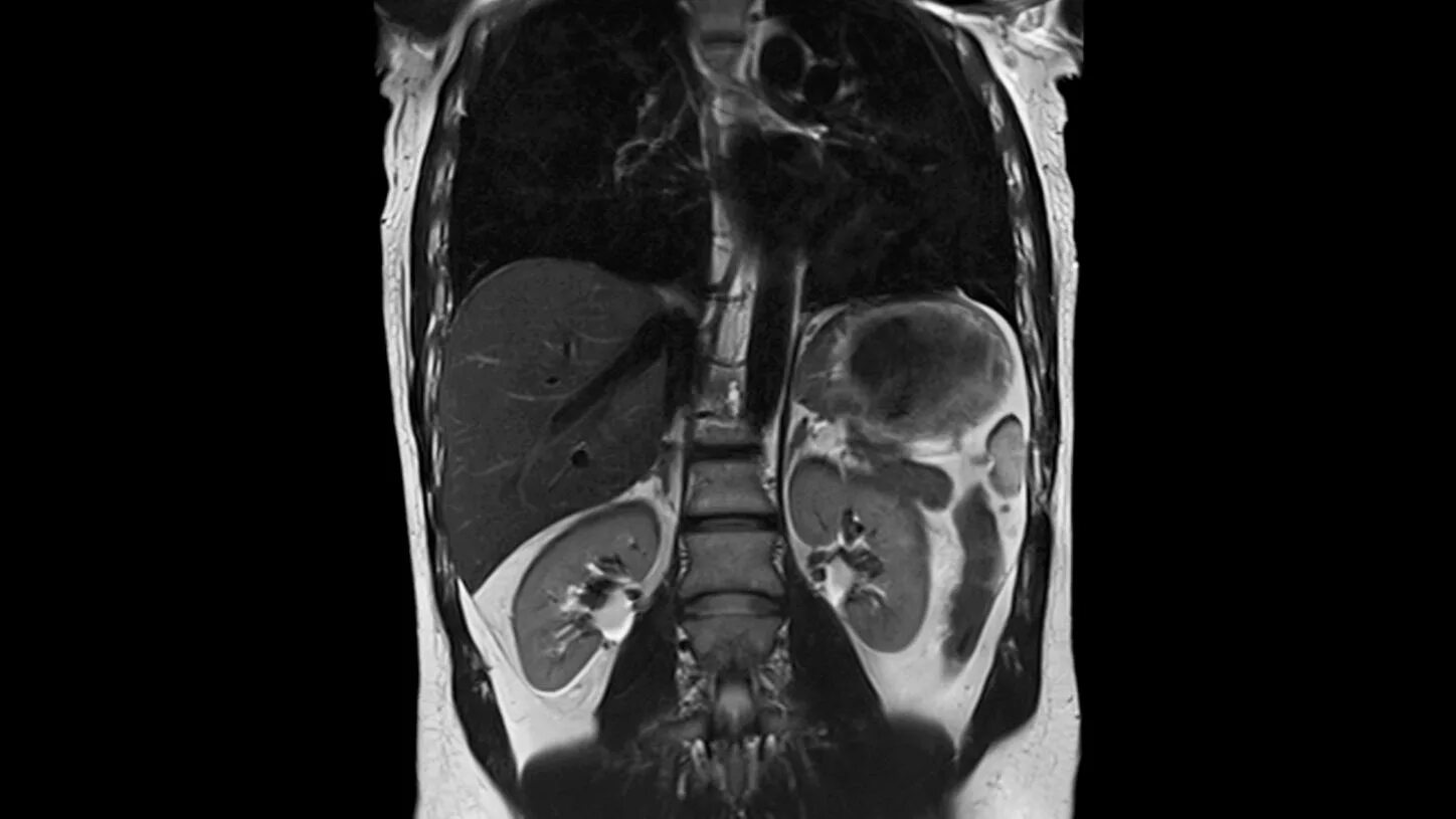
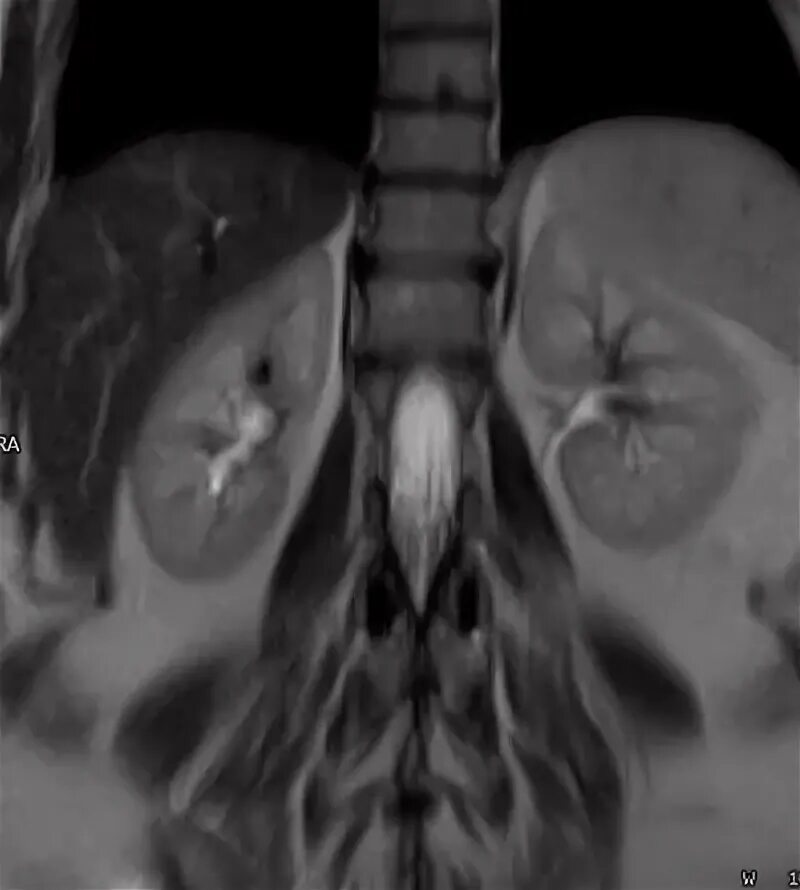
Что входит в мрт забрюшинного пространства