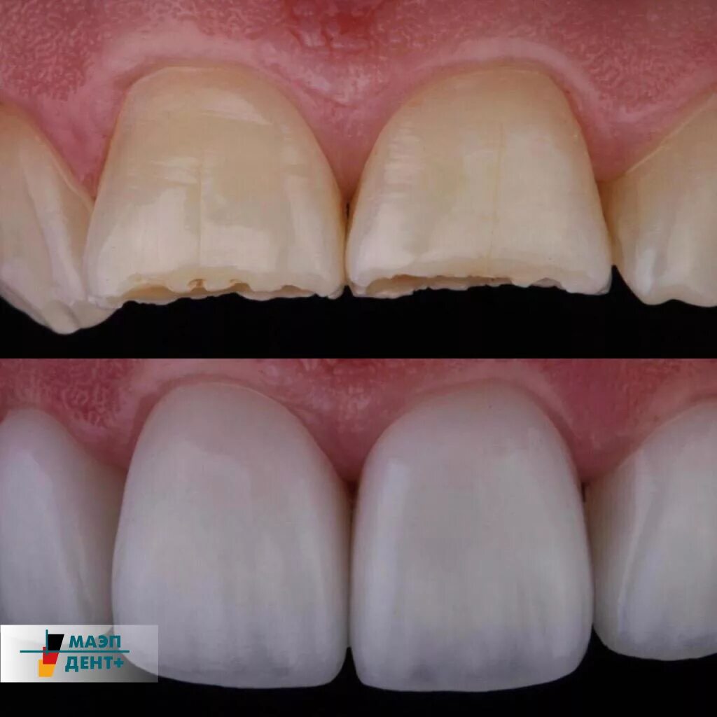
Что такое виниры и как их